
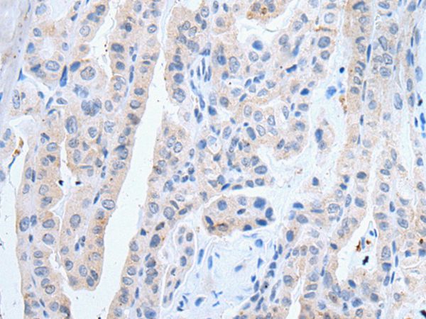
Immunohistochemical staining of human liver shows moderate membranous positivity in hepatocytes.
Anti-SLCO2B1 Antibody
HPA020659
ApplicationsImmunoHistoChemistry
Product group Antibodies
ReactivityHuman
TargetSLCO2B1
Overview
- SupplierAtlas Antibodies
- Product NameAnti-SLCO2B1 Antibody
- Delivery Days Customer4
- ApplicationsImmunoHistoChemistry
- CertificationResearch Use Only
- ClonalityPolyclonal
- ConjugateUnconjugated
- Gene ID11309
- Target nameSLCO2B1
- Target descriptionsolute carrier organic anion transporter family member 2B1
- Target synonymsOATP-B, OATP2B1, OATPB, SLC21A9, solute carrier organic anion transporter family member 2B1, OATP-RP2, organic anion transporter B, organic anion transporter polypeptide-related protein 2, organic anion transporting polypeptide 2B1, solute carrier family 21 (organic anion transporter), member 9
- HostRabbit
- IsotypeIgG
- Protein IDO94956
- Protein NameSolute carrier organic anion transporter family member 2B1
- Scientific DescriptionRecombinant Protein Epitope Signature Tag (PrEST) antigen sequence
- ReactivityHuman
- Storage Instruction-20°C,2°C to 8°C
- UNSPSC41116161





