
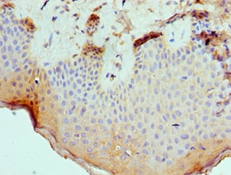
Immunohistochemical staining of human skin shows strong cytoplasmic positivity in a subset of keratinocytes.
Anti-SLURP1 Antibody
HPA050967
ApplicationsWestern Blot, ImmunoHistoChemistry
Product group Antibodies
ReactivityHuman
TargetSLURP1
Overview
- SupplierAtlas Antibodies
- Product NameAnti-SLURP1 Antibody
- Delivery Days Customer4
- ApplicationsWestern Blot, ImmunoHistoChemistry
- CertificationResearch Use Only
- ClonalityPolyclonal
- ConjugateUnconjugated
- Gene ID57152
- Target nameSLURP1
- Target descriptionsecreted LY6/PLAUR domain containing 1
- Target synonymsANUP, ARS, ArsB, LY6-MT, LY6LS, MDM, secreted Ly-6/uPAR-related protein 1, ARS(component B)-81/S, SLURP-1, anti-neoplastic urinary protein, lymphocyte antigen 6-like secreted, secreted Ly6/uPAR related protein 1
- HostRabbit
- IsotypeIgG
- Protein IDP55000
- Protein NameSecreted Ly-6/uPAR-related protein 1
- Scientific DescriptionRecombinant Protein Epitope Signature Tag (PrEST) antigen sequence
- ReactivityHuman
- Storage Instruction-20°C,2°C to 8°C
- UNSPSC41116161
![Lane 1: Marker [kDa] 250, 130, 100, 70, 55, 35, 25, 15, 10. Lane 2: Human Esophagus tissue Lane 1: Marker [kDa] 250, 130, 100, 70, 55, 35, 25, 15, 10. Lane 2: Human Esophagus tissue](https://atlasantibodies.s3.amazonaws.com/images/wb/hpa050967-wb-1.jpg)



