
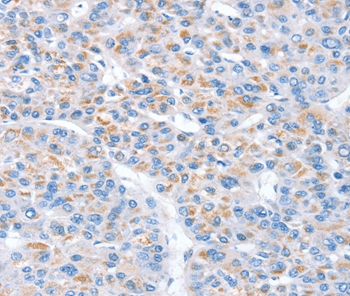
Immunohistochemical staining of human pancreas shows strong cytoplasmic positivity in exocrine glandular cells and islets of Langerhans.
Anti-SNX33 Antibody
HPA040988
ApplicationsImmunoHistoChemistry
Product group Antibodies
ReactivityHuman
TargetSNX33
Overview
- SupplierAtlas Antibodies
- Product NameAnti-SNX33 Antibody
- Delivery Days Customer4
- ApplicationsImmunoHistoChemistry
- CertificationResearch Use Only
- ClonalityPolyclonal
- ConjugateUnconjugated
- Gene ID257364
- Target nameSNX33
- Target descriptionsorting nexin 33
- Target synonymsSH3PX3, SH3PXD3C, SNX30, sorting nexin-33, SH3 and PX domain containing 3, SH3 and PX domain-containing protein 3
- HostRabbit
- IsotypeIgG
- Protein IDQ8WV41
- Protein NameSorting nexin-33
- Scientific DescriptionRecombinant Protein Epitope Signature Tag (PrEST) antigen sequence
- ReactivityHuman
- Storage Instruction-20°C,2°C to 8°C
- UNSPSC41116161



