
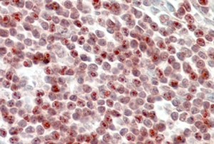
Immunohistochemical staining of human spleen shows strong nuclear positivity in cells in white pulp.
Anti-SP110 Antibody
HPA047036
ApplicationsImmunoHistoChemistry
Product group Antibodies
ReactivityHuman
TargetSP110
Overview
- SupplierAtlas Antibodies
- Product NameAnti-SP110 Antibody
- Delivery Days Customer4
- ApplicationsImmunoHistoChemistry
- CertificationResearch Use Only
- ClonalityPolyclonal
- ConjugateUnconjugated
- Gene ID3431
- Target nameSP110
- Target descriptionSP110 nuclear body protein
- Target synonymsIFI41, IFI75, IPR1, VODI, sp110 nuclear body protein, interferon-induced protein 41, 30kD, interferon-induced protein 41/75, interferon-induced protein 75, 52kD, phosphoprotein 41, phosphoprotein 75, speckled 110 kDa, transcriptional coactivator Sp110
- HostRabbit
- IsotypeIgG
- Protein IDQ9HB58
- Protein NameSp110 nuclear body protein
- Scientific DescriptionRecombinant Protein Epitope Signature Tag (PrEST) antigen sequence
- ReactivityHuman
- Storage Instruction-20°C,2°C to 8°C
- UNSPSC41116161




