
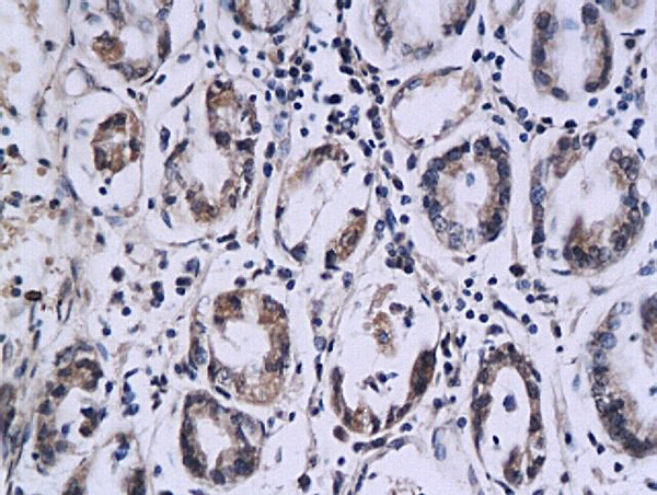
Immunohistochemistry analysis in human esophagus and lymph node tissues using Anti-SPINK7 antibody. Corresponding SPINK7 RNA-seq data are presented for the same tissues.
Anti-SPINK7 Antibody
HPA036294
ApplicationsImmunoHistoChemistry
Product group Antibodies
ReactivityHuman
TargetSPINK7
Overview
- SupplierAtlas Antibodies
- Product NameAnti-SPINK7 Antibody
- Delivery Days Customer4
- ApplicationsImmunoHistoChemistry
- CertificationResearch Use Only
- ClonalityPolyclonal
- ConjugateUnconjugated
- Gene ID84651
- Target nameSPINK7
- Target descriptionserine peptidase inhibitor Kazal type 7
- Target synonymsECG2, ECRG2, serine protease inhibitor Kazal-type 7, ECRG-2, esophagus cancer-related gene 2 protein, esophagus cancer-related gene-2, serine peptidase inhibitor, Kazal type 7 (putative)
- HostRabbit
- IsotypeIgG
- Protein IDP58062
- Protein NameSerine protease inhibitor Kazal-type 7
- Scientific DescriptionRecombinant Protein Epitope Signature Tag (PrEST) antigen sequence
- ReactivityHuman
- Storage Instruction-20°C,2°C to 8°C
- UNSPSC41116161





