
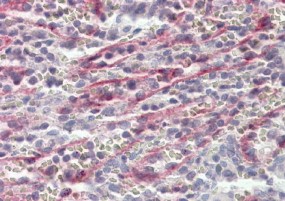
Immunohistochemical staining of human liver shows strong cytoplasmic positivity in hepatic stellate cells.
Anti-STAB1 Antibody
HPA005434
ApplicationsImmunoHistoChemistry
Product group Antibodies
ReactivityHuman
TargetSTAB1
Overview
- SupplierAtlas Antibodies
- Product NameAnti-STAB1 Antibody
- Delivery Days Customer4
- ApplicationsImmunoHistoChemistry
- CertificationResearch Use Only
- ClonalityPolyclonal
- ConjugateUnconjugated
- Gene ID23166
- Target nameSTAB1
- Target descriptionstabilin 1
- Target synonymsCLEVER-1, FEEL-1, FEEL1, FELE-1, FEX1, HRFT, SCARH2, STAB-1, stabilin-1, MS-1 antigen, common lymphatic endothelial and vascular endothelial receptor-1, fasciclin egf-like, laminin-type egf-like, and link domain-containing scavenger receptor-1, fasciclin, EGF-like, laminin-type EGF-like and link domain-containing scavenger receptor 1
- HostRabbit
- IsotypeIgG
- Protein IDQ9NY15
- Protein NameStabilin-1
- Scientific DescriptionRecombinant Protein Epitope Signature Tag (PrEST) antigen sequence
- ReactivityHuman
- Storage Instruction-20°C,2°C to 8°C
- UNSPSC41116161





