
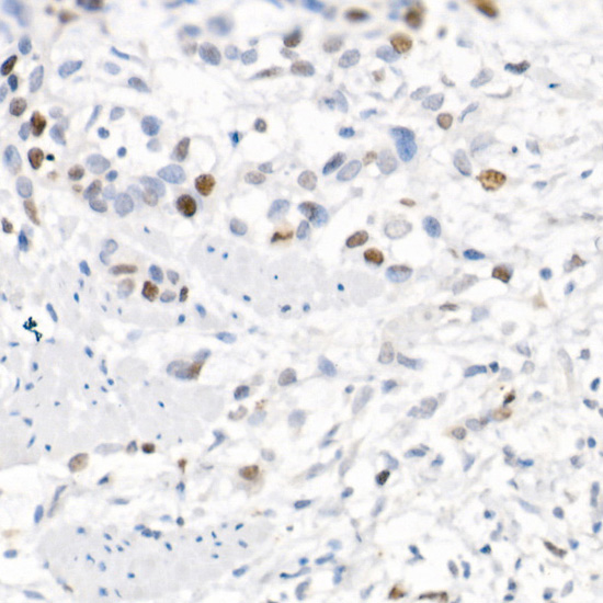
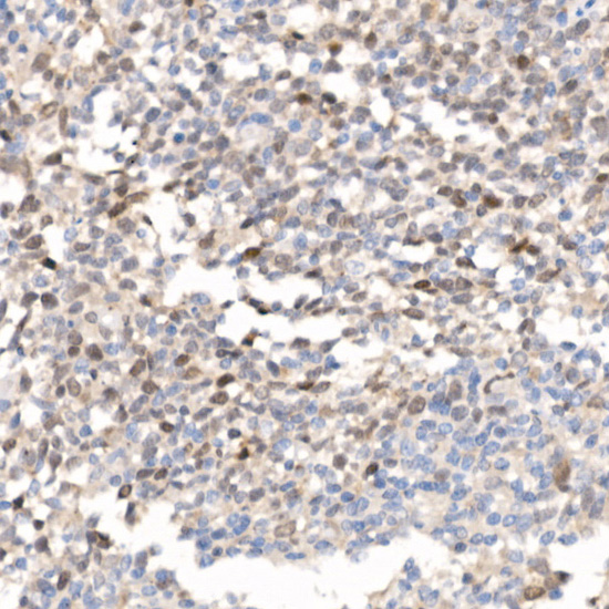
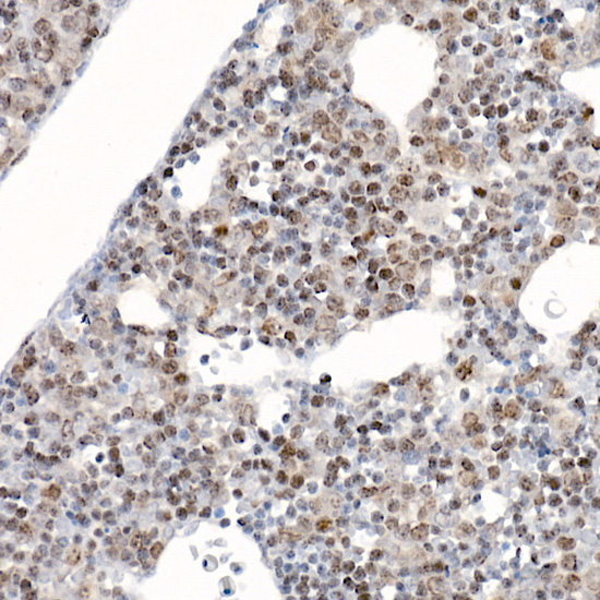
Anti-Survivin Antibody - Identical to Abcam (ab186862)
A13502
ApplicationsWestern Blot, ImmunoHistoChemistry
Product group Antibodies
ReactivityHuman, Mouse, Rat
Overview
- SupplierAntibodies.com
- Product NameAnti-Survivin Antibody - Identical to Abcam (ab186862)
- Delivery Days Customer7
- ApplicationsWestern Blot, ImmunoHistoChemistry
- CertificationResearch Use Only
- ClonalityPolyclonal
- ConjugateUnconjugated
- HostRabbit
- IsotypeIgG
- Scientific DescriptionRabbit polyclonal antibody to Survivin.
- ReactivityHuman, Mouse, Rat
- UNSPSC12352203



