
Figure 1. Western blot analysis of Survivin using anti-Survivin antibody (RP1052). Electrophoresis was performed on a 5-20% SDS-PAGE gel at 70V (Stacking gel) / 90V (Resolving gel) for 2-3 hours. The sample well of each lane was loaded with 30 ug of sample under reducing conditions. Lane 1: mouse thymus tissue lysates, Lane 2: mouse SP2/0 whole cell lysates, Lane 3: mouse RAW264.7 whole cell lysates, Lane 4: mouse ANA-1 whole cell lysates. After electrophoresis, proteins were transferred to a nitrocellulose membrane at 150 mA for 50-90 minutes. Blocked the membrane with 5% non-fat milk/TBS for 1.5 hour at RT. The membrane was incubated with rabbit anti-Survivin antigen affinity purified polyclonal antibody (Catalog # RP1052) at 0.5 microg/mL overnight at 4°C, then washed with TBS-0.1%Tween 3 times with 5 minutes each and probed with a goat anti-rabbit IgG-HRP secondary antibody at a dilution of 1:5000 for 1.5 hour at RT. The signal is developed using an Enhanced Chemiluminescent detection (ECL) kit (Catalog # EK1002) with Tanon 5200 system. A specific band was detected for Survivin at approximately 16 kDa. The expected band size for Survivin is at 16 kDa.
Anti-Survivin/BIRC5 Antibody Picoband(r)
RP1052-CARRIER-FREE
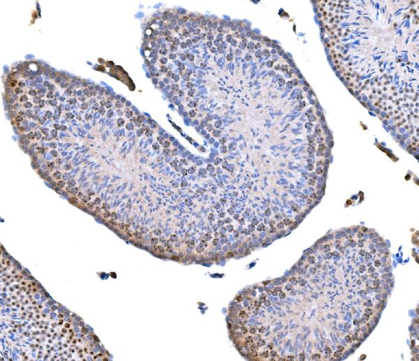
ApplicationsFlow Cytometry, Western Blot, ImmunoHistoChemistry
Product group Antibodies
ReactivityMouse
TargetBirc5
Overview
- SupplierBoster Bio
- Product NameAnti-Survivin/BIRC5 Antibody Picoband(r)
- Delivery Days Customer9
- Application Supplier NoteWB: The detection limit for Survivin is approximately 0.25ng/lane under reducing conditions. Tested Species: In-house tested species with positive results. Other applications have not been tested. Optimal dilutions should be determined by end users.
- ApplicationsFlow Cytometry, Western Blot, ImmunoHistoChemistry
- CertificationResearch Use Only
- ClonalityPolyclonal
- Concentration500 ug/ml
- Gene ID11799
- Target nameBirc5
- Target descriptionbaculoviral IAP repeat-containing 5
- Target synonymsAAC-11, Api4, TIAP, survivin40, baculoviral IAP repeat-containing protein 5, apoptosis inhibitor 4, apoptosis inhibitor survivin, survivin
- HostRabbit
- IsotypeIgG
- Protein IDO70201
- Protein NameBaculoviral IAP repeat-containing protein 5
- Scientific DescriptionBoster Bio Anti-Survivin/BIRC5 Antibody catalog # RP1052. Tested in Flow Cytometry, IHC, WB applications. This antibody reacts with Mouse. The brand Picoband indicates this is a premium antibody that guarantees superior quality, high affinity, and strong signals with minimal background in Western blot applications. Only our best-performing antibodies are designated as Picoband, ensuring unmatched performance.
- ReactivityMouse
- Storage Instruction-20°C,2°C to 8°C
- UNSPSC12352203




