
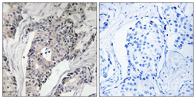
Anti-THBS4 Antibody
A100638
ApplicationsELISA, ImmunoHistoChemistry
Product group Antibodies
ReactivityHuman
Overview
- SupplierAntibodies.com
- Product NameAnti-THBS4 Antibody
- Delivery Days Customer7
- ApplicationsELISA, ImmunoHistoChemistry
- CertificationResearch Use Only
- ClonalityPolyclonal
- ConjugateUnconjugated
- HostRabbit
- IsotypeIgG
- Scientific DescriptionRabbit polyclonal antibody to THBS4.
- ReactivityHuman
- UNSPSC12352203
