
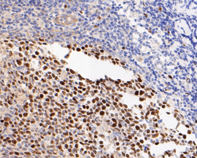
Immunohistochemistry analysis in human tonsil and cerebral cortex tissues using HPA060655 antibody. Corresponding TIMELESS RNA-seq data are presented for the same tissues.
Anti-TIMELESS Antibody
HPA060655
ApplicationsWestern Blot, ImmunoCytoChemistry, ImmunoHistoChemistry
Product group Antibodies
ReactivityHuman
TargetTIMELESS
Overview
- SupplierAtlas Antibodies
- Product NameAnti-TIMELESS Antibody
- Delivery Days Customer4
- ApplicationsWestern Blot, ImmunoCytoChemistry, ImmunoHistoChemistry
- CertificationResearch Use Only
- ClonalityPolyclonal
- ConjugateUnconjugated
- Gene ID8914
- Target nameTIMELESS
- Target descriptiontimeless circadian regulator
- Target synonymsFASPS4, TIM, TIM1, hTIM, protein timeless homolog, Tof1 homolog, timeless circadian clock 1, timeless homolog
- HostRabbit
- IsotypeIgG
- Protein IDQ9UNS1
- Protein NameProtein timeless homolog
- Scientific DescriptionRecombinant Protein Epitope Signature Tag (PrEST) antigen sequence
- ReactivityHuman
- Storage Instruction-20°C,2°C to 8°C
- UNSPSC41116161







