
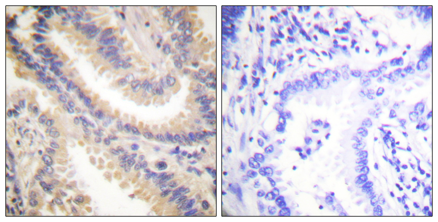
Anti-TIMP4 Antibody - Identical to Abcam (ab58425)
A95769
ApplicationsWestern Blot, ELISA, ImmunoHistoChemistry
Product group Antibodies
ReactivityHuman, Mouse, Rat
Overview
- SupplierAntibodies.com
- Product NameAnti-TIMP4 Antibody - Identical to Abcam (ab58425)
- Delivery Days Customer7
- ApplicationsWestern Blot, ELISA, ImmunoHistoChemistry
- CertificationResearch Use Only
- ClonalityPolyclonal
- ConjugateUnconjugated
- HostRabbit
- IsotypeIgG
- Scientific DescriptionRabbit polyclonal antibody to TIMP4.
- ReactivityHuman, Mouse, Rat
- UNSPSC12352203
