
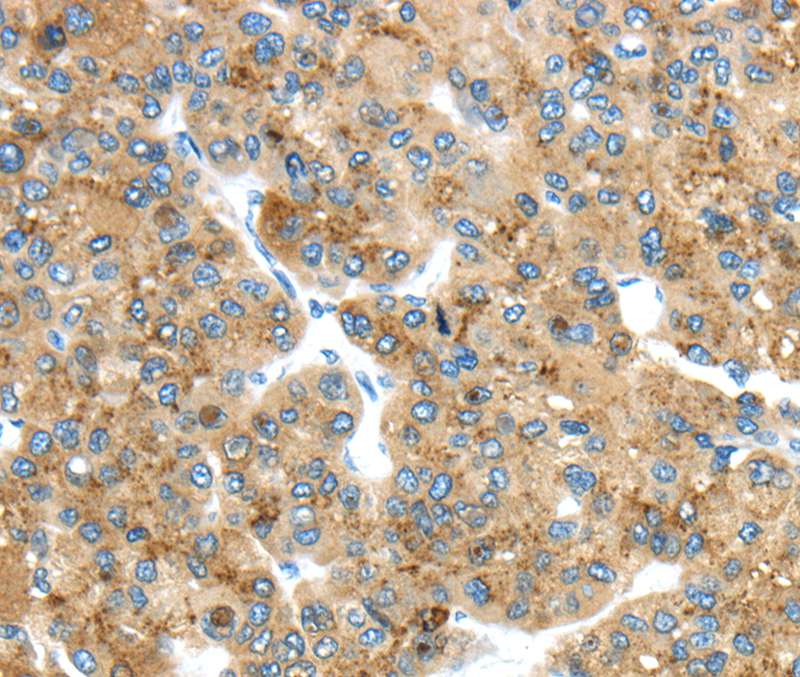
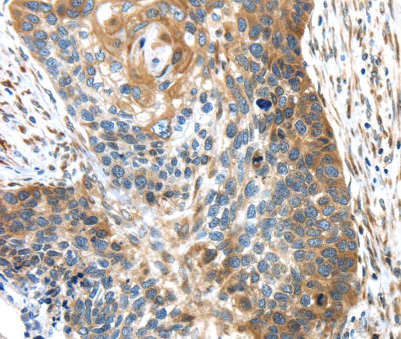
Anti-TMED4 Antibody
A38186
ApplicationsWestern Blot, ImmunoHistoChemistry
Product group Antibodies
ReactivityHuman, Mouse
Overview
- SupplierAntibodies.com
- Product NameAnti-TMED4 Antibody
- Delivery Days Customer7
- ApplicationsWestern Blot, ImmunoHistoChemistry
- CertificationResearch Use Only
- ClonalityPolyclonal
- Concentration2.5 mg/ml
- ConjugateUnconjugated
- HostRabbit
- Scientific DescriptionRabbit polyclonal antibody to TMED4
- ReactivityHuman, Mouse
- UNSPSC12352203






![TMED4 antibody [N1C3] detects Tmed4 protein on zebrafish by whole mount immunohistochemical analysis. Sample: 2 days-post-fertilization zebrafish embryo. TMED4 antibody [N1C3] (GTX112712) dilution: 1:50.](https://www.genetex.com/upload/website/prouct_img/normal/GTX112712/GTX112712_40247_20151008_IHC-Wm_Z_22111423_240.webp)
