
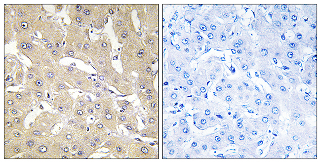
Anti-TNAP2 Antibody - Identical to Abcam (ab196659)
A97150
ApplicationsImmunoFluorescence, ELISA, ImmunoHistoChemistry
Product group Antibodies
ReactivityHuman, Mouse
Overview
- SupplierAntibodies.com
- Product NameAnti-TNAP2 Antibody - Identical to Abcam (ab196659)
- Delivery Days Customer7
- ApplicationsImmunoFluorescence, ELISA, ImmunoHistoChemistry
- CertificationResearch Use Only
- ClonalityPolyclonal
- ConjugateUnconjugated
- HostRabbit
- IsotypeIgG
- Scientific DescriptionRabbit polyclonal antibody to TNAP2.
- ReactivityHuman, Mouse
- UNSPSC12352203
