
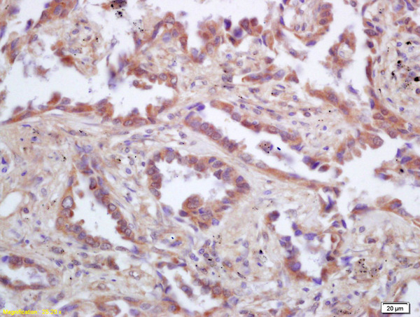
Immunohistochemical staining of human stomach, upper shows strong cytoplasmic and nuclear positivity in glandular cells.
Anti-TP53AIP1 Antibody
HPA044300
ApplicationsImmunoHistoChemistry
Product group Antibodies
ReactivityHuman
TargetTP53AIP1
Overview
- SupplierAtlas Antibodies
- Product NameAnti-TP53AIP1 Antibody
- Delivery Days Customer4
- ApplicationsImmunoHistoChemistry
- CertificationResearch Use Only
- ClonalityPolyclonal
- ConjugateUnconjugated
- Gene ID63970
- Target nameTP53AIP1
- Target descriptiontumor protein p53 regulated apoptosis inducing protein 1
- Target synonymsP53AIP1, p53-regulated apoptosis-inducing protein 1
- HostRabbit
- IsotypeIgG
- Protein IDQ9HCN2
- Protein Namep53-regulated apoptosis-inducing protein 1
- Scientific DescriptionRecombinant Protein Epitope Signature Tag (PrEST) antigen sequence
- ReactivityHuman
- Storage Instruction-20°C,2°C to 8°C
- UNSPSC41116161






