
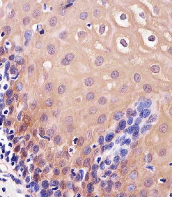
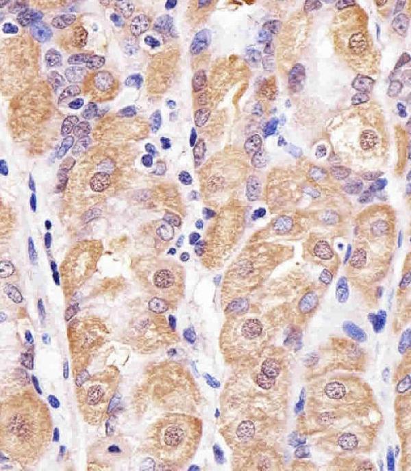
Immunohistochemical analysis of paraffin-embedded H. esophagus section using TXN Antibody (C-term) (Cat#A01219). A01219 was diluted at 1:25 dilution. A undiluted biotinylated goat polyvalent antibody was used as the secondary, followed by DAB staining.
Anti-TXN Antibody (C-term)
A01219
ApplicationsWestern Blot, ImmunoHistoChemistry, ImmunoHistoChemistry Paraffin
Product group Antibodies
ReactivityBovine, Human, Mouse, Porcine, Rabbit, Rat
TargetTXN
Overview
- SupplierBoster Bio
- Product NameAnti-TXN Antibody (C-term)
- Delivery Days Customer9
- ApplicationsWestern Blot, ImmunoHistoChemistry, ImmunoHistoChemistry Paraffin
- CertificationResearch Use Only
- ClonalityPolyclonal
- Gene ID7295
- Target nameTXN
- Target descriptionthioredoxin
- Target synonymsTRDX, TRX, TRX1, TXN1, Trx80, thioredoxin, ADF, ATL-derived factor, SASP, TXN delta 3, surface-associated sulphydryl protein, testicular tissue protein Li 199, thioredoxin delta 3
- HostRabbit
- IsotypeIgG
- Protein IDP10599
- Protein NameThioredoxin
- Scientific DescriptionBoster Bio Anti-TXN Antibody (C-term) (Catalog # A01219). Tested in IHC-P, WB application(s). This antibody reacts with Human.
- ReactivityBovine, Human, Mouse, Porcine, Rabbit, Rat
- Storage Instruction-20°C,2°C to 8°C
- UNSPSC12352203







