
Figure 1. Western blot analysis of Tec using anti-Tec antibody (PA2000). Electrophoresis was performed on a 5-20% SDS-PAGE gel at 70V (Stacking gel) / 90V (Resolving gel) for 2-3 hours. The sample well of each lane was loaded with 30 ug of sample under reducing conditions. Lane 1: human HEL whole cell lysates, Lane 2: rat kidney tissue lysates. After electrophoresis, proteins were transferred to a nitrocellulose membrane at 150 mA for 50-90 minutes. Blocked the membrane with 5% non-fat milk/TBS for 1.5 hour at RT. The membrane was incubated with rabbit anti-Tec antigen affinity purified polyclonal antibody (Catalog # PA2000) at 0.5 microg/mL overnight at 4°C, then washed with TBS-0.1%Tween 3 times with 5 minutes each and probed with a goat anti-rabbit IgG-HRP secondary antibody at a dilution of 1:5000 for 1.5 hour at RT. The signal is developed using an Enhanced Chemiluminescent detection (ECL) kit (Catalog # EK1002) with Tanon 5200 system. A specific band was detected for Tec at approximately 74 kDa. The expected band size for Tec is at 74 kDa.
Anti-Tyrosine-protein kinase Tec Tec Antibody Picoband(r)
PA2000-10UG
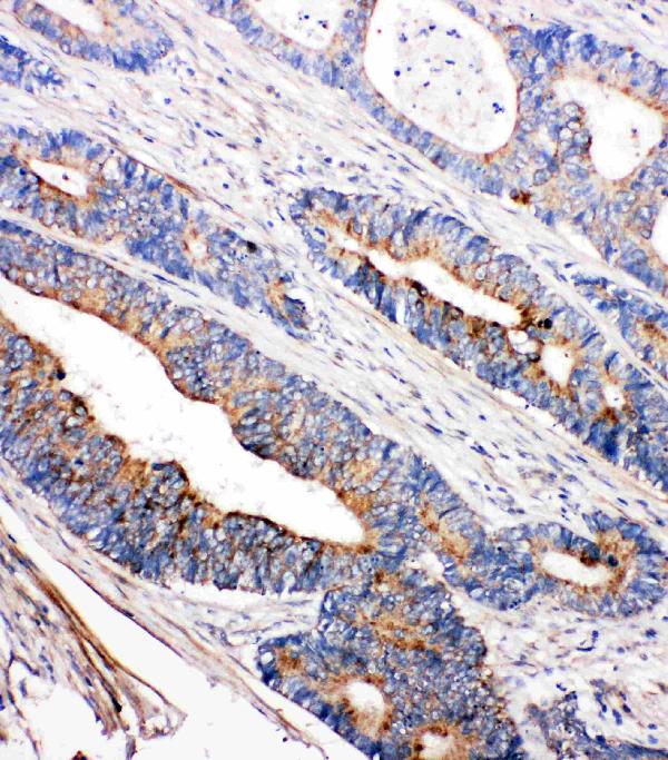
ApplicationsWestern Blot, ImmunoHistoChemistry
Product group Antibodies
ReactivityHamster, Human, Rat
TargetTEC
Overview
- SupplierBoster Bio
- Product NameAnti-Tyrosine-protein kinase Tec Tec Antibody Picoband(r)
- Delivery Days Customer9
- Application Supplier NoteTested Species: In-house tested species with positive results. Predicted Species: Species predicted to be fit for the product based on sequence similarities. By Heat: Boiling the paraffin sections in 10mM citrate buffer, pH6.0, for 20mins is required for the staining of formalin/paraffin sections. Other applications have not been tested. Optimal dilutions should be determined by end users.
- ApplicationsWestern Blot, ImmunoHistoChemistry
- CertificationResearch Use Only
- ClonalityPolyclonal
- Concentration500 ug/ml
- Gene ID7006
- Target nameTEC
- Target descriptiontec protein tyrosine kinase
- Target synonymsPSCTK4, tyrosine-protein kinase Tec
- HostRabbit
- IsotypeIgG
- Protein IDP42680
- Protein NameTyrosine-protein kinase Tec
- Scientific DescriptionBoster Bio Anti-Tyrosine-protein kinase Tec Tec Antibody catalog # PA2000. Tested in IHC, WB applications. This antibody reacts with Human, Rat. The brand Picoband indicates this is a premium antibody that guarantees superior quality, high affinity, and strong signals with minimal background in Western blot applications. Only our best-performing antibodies are designated as Picoband, ensuring unmatched performance.
- ReactivityHamster, Human, Rat
- Storage Instruction-20°C,2°C to 8°C
- UNSPSC12352203

