
Anti-UCK1 Antibody
A46768
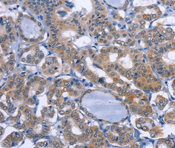
ApplicationsImmunoHistoChemistry
Product group Antibodies
ReactivityHuman
Overview
- SupplierAntibodies.com
- Product NameAnti-UCK1 Antibody
- Delivery Days Customer7
- ApplicationsImmunoHistoChemistry
- CertificationResearch Use Only
- ClonalityPolyclonal
- Concentration2.1 mg/ml
- ConjugateUnconjugated
- HostRabbit
- Scientific DescriptionRabbit polyclonal antibody to UCK1
- ReactivityHuman
- UNSPSC12352203

![FACS analysis of HEK293T cells transfected with either UCK1 plasmid(Red) or empty vector control plasmid(Blue) using GTX83441 UCK1 antibody [5E9].](https://www.genetex.com/upload/website/prouct_img/normal/GTX83441/GTX83441_20_FACS_w_23061419_752.webp)



