
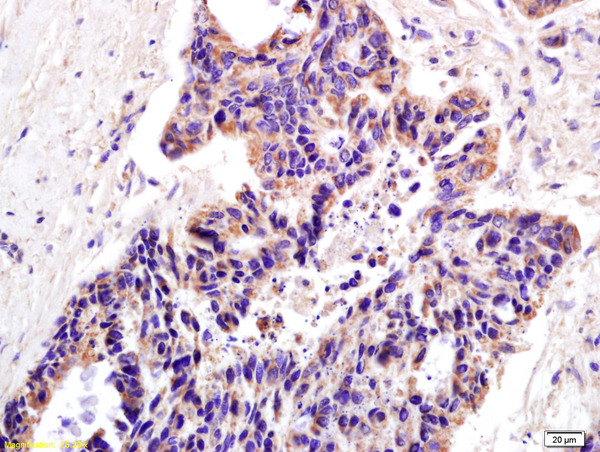
Immunohistochemical staining of human placenta shows distinct cytoplasmic positivity in trophoblastic cells.
Anti-XAGE2 Antibody
HPA060900
ApplicationsImmunoHistoChemistry
Product group Antibodies
ReactivityHuman
TargetXAGE2
Overview
- SupplierAtlas Antibodies
- Product NameAnti-XAGE2 Antibody
- Delivery Days Customer4
- ApplicationsImmunoHistoChemistry
- CertificationResearch Use Only
- ClonalityPolyclonal
- ConjugateUnconjugated
- Gene ID9502
- Target nameXAGE2
- Target descriptionX antigen family member 2
- Target synonymsCT12.2, GAGED3, XAGE-2, XAGE2B, X antigen family member 2, G antigen family D member 3, X antigen family, member 2B, cancer/testis antigen 12.2, cancer/testis antigen family 12, member 2
- HostRabbit
- IsotypeIgG
- Protein IDQ96GT9
- Protein NameX antigen family member 2
- Scientific DescriptionRecombinant Protein Epitope Signature Tag (PrEST) antigen sequence
- ReactivityHuman
- Storage Instruction-20°C,2°C to 8°C
- UNSPSC41116161




