
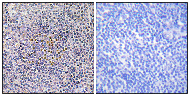
Anti-XRCC3 Antibody - Identical to Abcam (ab58467)
A99584
ApplicationsImmunoFluorescence, ELISA, ImmunoHistoChemistry
Product group Antibodies
ReactivityHuman
Overview
- SupplierAntibodies.com
- Product NameAnti-XRCC3 Antibody - Identical to Abcam (ab58467)
- Delivery Days Customer7
- ApplicationsImmunoFluorescence, ELISA, ImmunoHistoChemistry
- CertificationResearch Use Only
- ClonalityPolyclonal
- ConjugateUnconjugated
- HostRabbit
- IsotypeIgG
- Scientific DescriptionRabbit polyclonal antibody to XRCC3.
- ReactivityHuman
- UNSPSC12352203
