
Anti-YTHDF3 Antibody
A16176
ApplicationsImmunoFluorescence, ImmunoPrecipitation, Western Blot, ImmunoCytoChemistry, ImmunoHistoChemistry
Product group Antibodies
ReactivityHuman, Mouse, Rat
Overview
- SupplierAntibodies.com
- Product NameAnti-YTHDF3 Antibody
- Delivery Days Customer7
- ApplicationsImmunoFluorescence, ImmunoPrecipitation, Western Blot, ImmunoCytoChemistry, ImmunoHistoChemistry
- CertificationResearch Use Only
- ClonalityPolyclonal
- ConjugateUnconjugated
- HostRabbit
- IsotypeIgG
- Scientific DescriptionRabbit polyclonal antibody to YTHDF3.
- ReactivityHuman, Mouse, Rat
- UNSPSC12352203





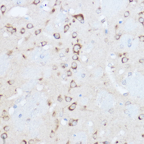
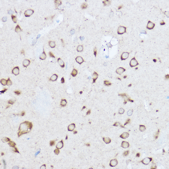
![YTHDF3 antibody [HL2235] detects YTHDF3 protein by immunohistochemical analysis. Sample: Paraffin-embedded rat brain. YTHDF3 stained by YTHDF3 antibody [HL2235] (GTX638280) diluted at 1:200. Antigen Retrieval: Citrate buffer, pH 6.0, 15 min](https://www.genetex.com/upload/website/prouct_img/normal/GTX638280/GTX638280_T-44956_20230325_IHC-P_R_23032819_977.webp)