
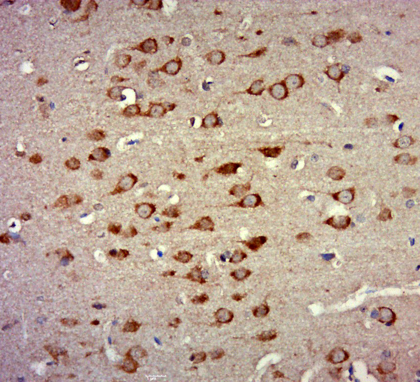
Immunohistochemical staining of human cerebral cortex shows strong nuclear positivity in neuronal cells and glial cells.
Anti-ZNF346 Antibody
HPA018485
ApplicationsWestern Blot, ImmunoHistoChemistry
Product group Antibodies
ReactivityHuman
TargetZNF346
Overview
- SupplierAtlas Antibodies
- Product NameAnti-ZNF346 Antibody
- Delivery Days Customer4
- ApplicationsWestern Blot, ImmunoHistoChemistry
- CertificationResearch Use Only
- ClonalityPolyclonal
- ConjugateUnconjugated
- Gene ID23567
- Target nameZNF346
- Target descriptionzinc finger protein 346
- Target synonymsJAZ, Zfp346, zinc finger protein 346, double-stranded RNA-binding zinc finger protein JAZ, just another zinc finger protein
- HostRabbit
- IsotypeIgG
- Protein IDQ9UL40
- Protein NameZinc finger protein 346
- Scientific DescriptionRecombinant Protein Epitope Signature Tag (PrEST) antigen sequence
- ReactivityHuman
- Storage Instruction-20°C,2°C to 8°C
- UNSPSC41116161
![Lane 1: Marker [kDa] 230, 130, 95, 72, 56, 36, 28, 17, 11. Lane 2: Human cell line RT-4. Lane 3: Human cell line U-251MG sp Lane 1: Marker [kDa] 230, 130, 95, 72, 56, 36, 28, 17, 11. Lane 2: Human cell line RT-4. Lane 3: Human cell line U-251MG sp](https://atlasantibodies.s3.amazonaws.com/images/wb/hpa018485-wb-1.jpg)





