
Immunohistochemical analysis of paraffin-embedded TOV-21G xenograft, using AP4M1(GTX115196) antibody at 1:500 dilution.
Antigen Retrieval: Citrate buffer, pH 6.0, 15 min
AP4M1 antibody [N1C1]
GTX115196
ApplicationsWestern Blot, ImmunoHistoChemistry, ImmunoHistoChemistry Paraffin
Product group Antibodies
ReactivityHuman, Mouse
TargetAP4M1
Overview
- SupplierGeneTex
- Product NameAP4M1 antibody [N1C1]
- Delivery Days Customer9
- Application Supplier NoteWB: 1:500-1:3000. IHC-P: 1:100-1:1000. *Optimal dilutions/concentrations should be determined by the researcher.Not tested in other applications.
- ApplicationsWestern Blot, ImmunoHistoChemistry, ImmunoHistoChemistry Paraffin
- CertificationResearch Use Only
- ClonalityPolyclonal
- Concentration1 mg/ml
- ConjugateUnconjugated
- Gene ID9179
- Target nameAP4M1
- Target descriptionadaptor related protein complex 4 subunit mu 1
- Target synonymsCPSQ3, MU-4, MU-ARP2, SPG50, AP-4 complex subunit mu-1, AP-4 adaptor complex mu subunit, adapter-related protein complex 4 mu-1 subunit, adapter-related protein complex 4 subunit mu-1, adaptor related protein complex 4 mu 1 subunit, adaptor-related protein complex AP-4 mu4 subunit, mu subunit of AP-4, mu-adaptin-related protein-2, mu4, mu4-adaptin
- HostRabbit
- IsotypeIgG
- Protein IDO00189
- Protein NameAP-4 complex subunit mu-1
- Scientific DescriptionThis gene encodes a subunit of the heterotetrameric AP-4 complex. The encoded protein belongs to the adaptor complexes medium subunits family. This AP-4 complex is involved in the recognition and sorting of cargo proteins with tyrosine-based motifs from the trans-golgi network to the endosomal-lysosomal system. [provided by RefSeq]
- ReactivityHuman, Mouse
- Storage Instruction-20°C or -80°C,2°C to 8°C
- UNSPSC41116161

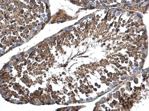
![AP4M1 antibody [N1C1] detects AP4M1 protein at cytoplasm in mouse testis by immunohistochemical analysis. Sample: Paraffin-embedded mouse testis. AP4M1 antibody [N1C1] (GTX115196) diluted at 1:500.
Antigen Retrieval: Citrate buffer, pH 6.0, 15 min AP4M1 antibody [N1C1] detects AP4M1 protein at cytoplasm in mouse testis by immunohistochemical analysis. Sample: Paraffin-embedded mouse testis. AP4M1 antibody [N1C1] (GTX115196) diluted at 1:500.
Antigen Retrieval: Citrate buffer, pH 6.0, 15 min](https://www.genetex.com/upload/website/prouct_img/normal/GTX115196/GTX115196_40254_20150715_IHC-P_M_w_23060519_697.webp)



