
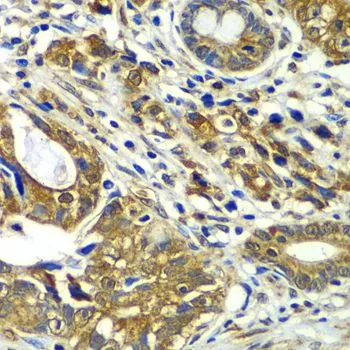
IHC-P analysis of human liver cancer tissue using GTX65871 Apc6 antibody. Dilution : 1:100
Apc6 antibody
GTX65871
ApplicationsImmunoFluorescence, Western Blot, ImmunoCytoChemistry, ImmunoHistoChemistry, ImmunoHistoChemistry Paraffin
Product group Antibodies
ReactivityHuman, Mouse, Rat
TargetCDC16
Overview
- SupplierGeneTex
- Product NameApc6 antibody
- Delivery Days Customer9
- Application Supplier NoteWB: 1:500 - 1:2000. ICC/IF: 1:50 - 1:100. IHC-P: 1:50 - 1:200. *Optimal dilutions/concentrations should be determined by the researcher.Not tested in other applications.
- ApplicationsImmunoFluorescence, Western Blot, ImmunoCytoChemistry, ImmunoHistoChemistry, ImmunoHistoChemistry Paraffin
- CertificationResearch Use Only
- ClonalityPolyclonal
- ConjugateUnconjugated
- Gene ID8881
- Target nameCDC16
- Target descriptioncell division cycle 16
- Target synonymsANAPC6, APC6, CDC16Hs, CUT9, cell division cycle protein 16 homolog, anaphase-promoting complex, subunit 6, cell division cycle 16 homolog, cyclosome subunit 6
- HostRabbit
- IsotypeIgG
- Protein IDQ13042
- Protein NameCell division cycle protein 16 homolog
- Scientific DescriptionThe protein encoded by this gene functions as a protein ubiquitin ligase and is a component of the multiprotein APC complex. The APC complex is a cyclin degradation system that governs exit from mitosis by targeting cell cycle proteins for degredation by the 26S proteasome. Each component protein of the APC complex is highly conserved among eukaryotic organisms. This protein, and other APC complex proteins, contain a tetratricopeptide repeat (TPR) domain; a protein domain that is often involved in protein-protein interactions and the assembly of multiprotein complexes. Multiple alternatively spliced transcript variants, encoding distinct proteins, have been identified. [provided by RefSeq, Jan 2016]
- ReactivityHuman, Mouse, Rat
- Storage Instruction-20°C or -80°C,2°C to 8°C
- UNSPSC41116161








