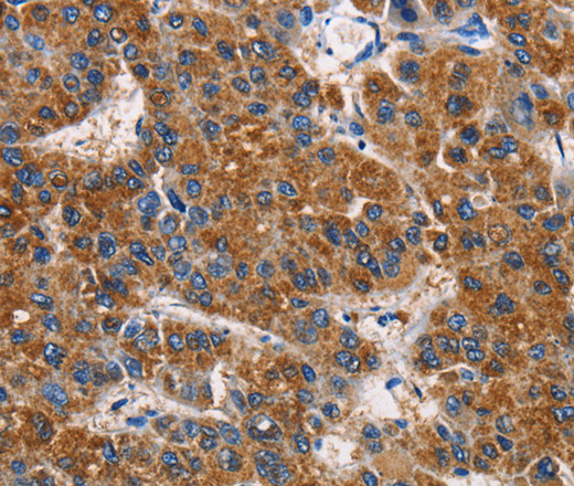
Immunohistochemistry of paraffin-embedded Human liver cancer tissue using APLNR Polyclonal Antibody at dilution 1:50
APLNR Polyclonal Antibody
E-AB-10156
ApplicationsImmunoHistoChemistry
Product group Antibodies
TargetAPLNR
Overview
- SupplierElabscience
- Product NameAPLNR Polyclonal Antibody
- Delivery Days Customer12
- ApplicationsImmunoHistoChemistry
- Applications SupplierELISA IHC
- CertificationResearch Use Only
- ClonalityPolyclonal
- Concentration0.4 mg/ml
- ConjugateUnconjugated
- Gene ID187
- Target nameAPLNR
- Target descriptionapelin receptor
- Target synonymsAGTRL1, APJ, APJR, HG11, apelin receptor, APJ (apelin) receptor, APJ receptor, G protein-coupled receptor APJ, G-protein coupled receptor HG11, HG11 orphan receptor, angiotensin II receptor-like 1, angiotensin receptor-like 1
- HostRabbit
- IsotypeIgG
- Protein IDP35414
- Protein NameApelin receptor
- Scientific DescriptionThis gene encodes a member of the G protein-coupled receptor gene family. The encoded protein is related to the angiotensin receptor, but is actually an apelin receptor that inhibits adenylate cyclase activity and plays a counter-regulatory role against the pressure action of angiotensin II by exerting hypertensive effect. It functions in the cardiovascular and central nervous systems, in glucose metabolism, in embryonic and tumor angiogenesis and as a human immunodeficiency virus (HIV-1) coreceptor. Two transcript variants resulting from alternative splicing have been identified.
- Storage Instruction-20°C
- UNSPSC41116161




![Apelin Receptor antibody [HL2980] detects Apelin Receptor protein by immunohistochemical analysis. Sample: Paraffin-embedded human glioblastoma. Apelin Receptor stained by Apelin Receptor antibody [HL2980] (GTX640367) diluted at 1:100. Antigen Retrieval: Citrate buffer, pH 6.0, 15 min](https://www.genetex.com/upload/website/prouct_img/normal/GTX640367/GTX640367_T-45411_20240711_IHC-P_24071520_990.webp)