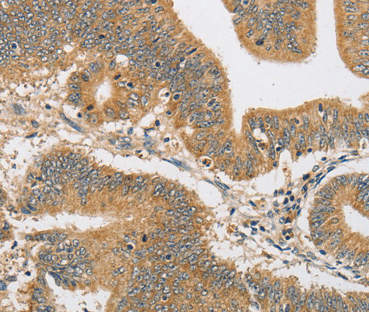
Immunohistochemistry of paraffin-embedded Human colon cancer tissue using ARHGAP15 Polyclonal Antibody at dilution 1:30
ARHGAP15 Polyclonal Antibody
E-AB-14604
Product group Antibodies
Overview
- SupplierElabscience
- Product NameARHGAP15 Polyclonal Antibody
- Delivery Days Customer12
- Applications SupplierELISA IHC
- CertificationResearch Use Only
- Concentration0.2mg/ml
- Scientific DescriptionRHO GTPases (see ARHA; MIM 165390) regulate diverse biologic processes, and their activity is regulated by RHO GTPase-activating proteins (GAPs), such as ARHGAP15 (Seoh et al., 2003 [PubMed 12650940]). GTPase activator for the Rho-type GTPases by converting them to an inactive GDP-bound state. Has activity toward RAC1. Overexpression results in an increase in actin stress fibers and cell contraction.
- UNSPSC12352203




