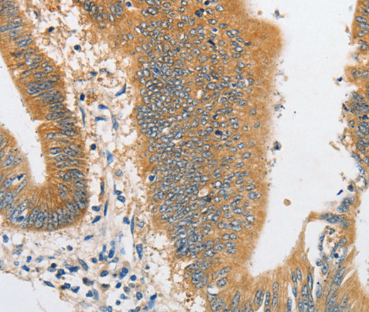
Immunohistochemistry of paraffin-embedded Human colon cancer tissue using ARHGAP5 Polyclonal Antibody at dilution 1:30
ARHGAP5 Polyclonal Antibody
E-AB-14603
Product group Antibodies
Overview
- SupplierElabscience
- Product NameARHGAP5 Polyclonal Antibody
- Delivery Days Customer12
- Applications SupplierELISA IHC
- CertificationResearch Use Only
- Concentration0.2mg/ml
- Scientific DescriptionRho GTPase activating protein 5 negatively regulates RHO GTPases, a family whicHuman, Mouseay mediate cytoskeleton changes by stimulating the hydrolysis of bound GTP. Two transcript variants encoding different isoforms have been found for this gene. GTPase-activating protein for Rho family members. May play a role in the reduction of the p21rasGTPase-activating potential of RASA1/p120GAP.
- UNSPSC12352203




