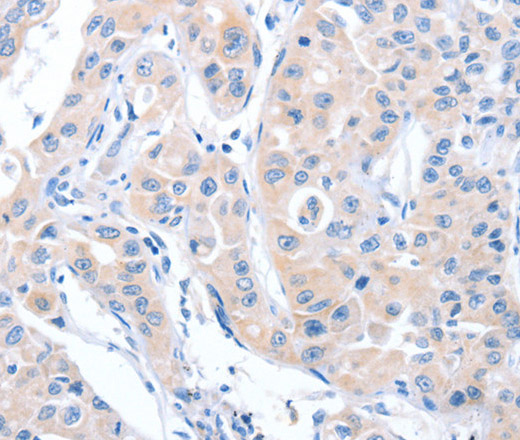
Immunohistochemistry of paraffin-embedded Human lung cancer tissue using ARHGEF6 Polyclonal Antibody at dilution 1:70
ARHGEF6 Polyclonal Antibody
E-AB-16170
Product group Antibodies
Overview
- SupplierElabscience
- Product NameARHGEF6 Polyclonal Antibody
- Delivery Days Customer12
- Applications SupplierELISA IHC
- CertificationResearch Use Only
- Concentration0.7mg/ml
- Scientific DescriptionRho GTPases play a fundamental role in numerous cellular processes that are initiated by extracellular stimuli that work through G protein coupled receptors. The encoded protein belongs to a family of cytoplasmic proteins that activate the Ras-like family of Rho proteins by exchanging bound GDP for GTP. It may form a complex with G proteins and stimulate Rho-dependent signals. This protein is activated by PI3-kinase. Mutations in this gene can cause X-chromosomal non-specific mental retardation.
- UNSPSC12352203




