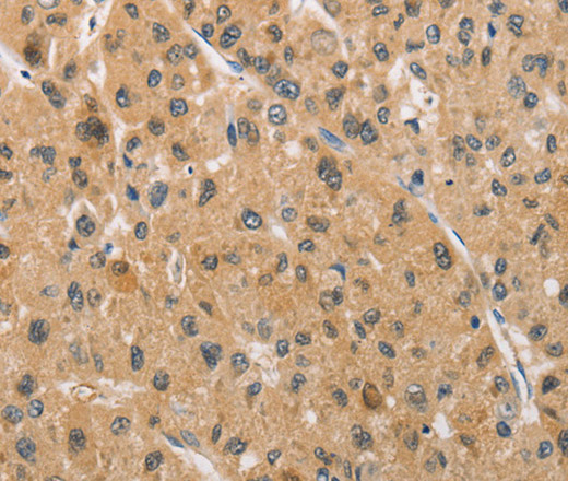
Immunohistochemistry of paraffin-embedded Human liver cancer tissue using ARMCX1 Polyclonal Antibody at dilution 1:40
ARMCX1 Polyclonal Antibody
E-AB-14615
Product group Antibodies
Overview
- SupplierElabscience
- Product NameARMCX1 Polyclonal Antibody
- Delivery Days Customer12
- Applications SupplierELISA IHC
- CertificationResearch Use Only
- Concentration0.1mg/ml
- Scientific DescriptionThis gene encodes a member of the ALEX family of proteins and may play a role in tumor suppression. The encoded protein contains a potential N-terminal transmembrane domain and two Armadillo (arm) repeats. Other proteins containing the arm repeat are involved in development, maintenance of tissue integrity, and tumorigenesis. This gene is closely localized with other family members, including ALEX2 and ALEX3, on the X chromosome.
- UNSPSC12352203







