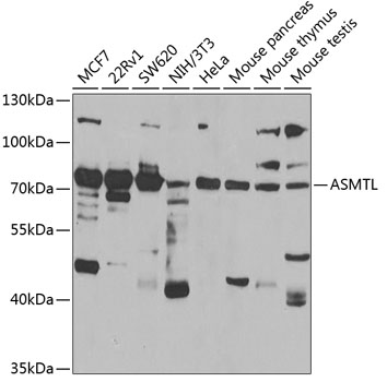
Western blot analysis of extracts of various cell lines using ASMTL Polyclonal Antibody at 1:1000 dilution.
ASMTL Polyclonal Antibody
E-AB-61473
Product group Antibodies
Overview
- SupplierElabscience
- Product NameASMTL Polyclonal Antibody
- Delivery Days Customer12
- CertificationResearch Use Only
- Scientific DescriptionThe protein encoded by this gene has an N-terminus that is similar to the multicopy associated filamentation (maf) protein of Bacillus subtilis and to orfE of Escherichia coli, while the C-terminus is similar to N-acetylserotonin O-methyltransferase. This gene is located in the pseudoautosomal region 1 (PAR1) of X and Y chromosomes. Three transcript variants encoding different isoforms have been found for this gene.
- UNSPSC12352203



![ASMTL antibody [N1C1] detects ASMTL protein at cytoplasm on human ovarian carcinoma by immunohistochemical analysis. Sample: Paraffin-embedded ovarian carcinoma. ASMTL antibody [N1C1] (GTX120590) dilution: 1:500.
Antigen Retrieval: Trilogy? (EDTA based, pH 8.0) buffer, 15min](https://www.genetex.com/upload/website/prouct_img/normal/GTX120590/GTX120590_40387_IHC_w_23060519_318.webp)
