
Sample (50 ug of whole cell lysate) A: Mouse brain 12% SDS PAGE GTX102361 diluted at 1:500
ATG5 antibody [N1C3]
GTX102361
ApplicationsWestern Blot, ImmunoHistoChemistry, ImmunoHistoChemistry Paraffin
Product group Antibodies
ReactivityHuman, Insect, Mouse
TargetATG5
Overview
- SupplierGeneTex
- Product NameATG5 antibody [N1C3]
- Delivery Days Customer9
- Application Supplier NoteWB: 1:500-1:3000. IHC-P: 1:100-1:1000. *Optimal dilutions/concentrations should be determined by the researcher.Not tested in other applications.
- ApplicationsWestern Blot, ImmunoHistoChemistry, ImmunoHistoChemistry Paraffin
- CertificationResearch Use Only
- ClonalityPolyclonal
- Concentration0.19 mg/ml
- ConjugateUnconjugated
- Gene ID9474
- Target nameATG5
- Target descriptionautophagy related 5
- Target synonymsAPG5, APG5-LIKE, APG5L, ASP, SCAR25, hAPG5, autophagy protein 5, APG5 autophagy 5-like, ATG5 autophagy related 5 homolog, apoptosis-specific protein
- HostRabbit
- IsotypeIgG
- Protein IDQ9H1Y0
- Protein NameAutophagy protein 5
- ReactivityHuman, Insect, Mouse
- Storage Instruction-20°C or -80°C,2°C to 8°C
- UNSPSC41116161
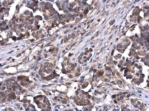
![ATG5 antibody [N1C3] detects ATG5 protein at cytoplasm in human oral carcinoma by immunohistochemical analysis. Sample: Paraffin-embedded human oral carcinoma. ATG5 antibody [N1C3] (GTX102361) diluted at 1:500.
Antigen Retrieval: Citrate buffer, pH 6.0, 15 min ATG5 antibody [N1C3] detects ATG5 protein at cytoplasm in human oral carcinoma by immunohistochemical analysis. Sample: Paraffin-embedded human oral carcinoma. ATG5 antibody [N1C3] (GTX102361) diluted at 1:500.
Antigen Retrieval: Citrate buffer, pH 6.0, 15 min](https://www.genetex.com/upload/website/prouct_img/normal/GTX102361/GTX102361_39728_20160413_IHC-P_H_w_23060100_600.webp)








