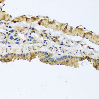
Immunohistochemistry of paraffin-embedded Mouse lung using ATP2C1 Polyclonal Antibody at dilution of 1:100 (40x lens).
ATP2C1 Polyclonal Antibody
E-AB-63094
Product group Antibodies
Overview
- SupplierElabscience
- Product NameATP2C1 Polyclonal Antibody
- Delivery Days Customer12
- CertificationResearch Use Only
- Scientific DescriptionThe protein encoded by this gene belongs to the family of P-type cation transport ATPases. This magnesium-dependent enzyme catalyzes the hydrolysis of ATP coupled with the transport of calcium ions. Defects in this gene cause Hailey-Hailey disease, an autosomal dominant disorder. Alternatively spliced transcript variants encoding different isoforms have been identified.
- UNSPSC12352203





