
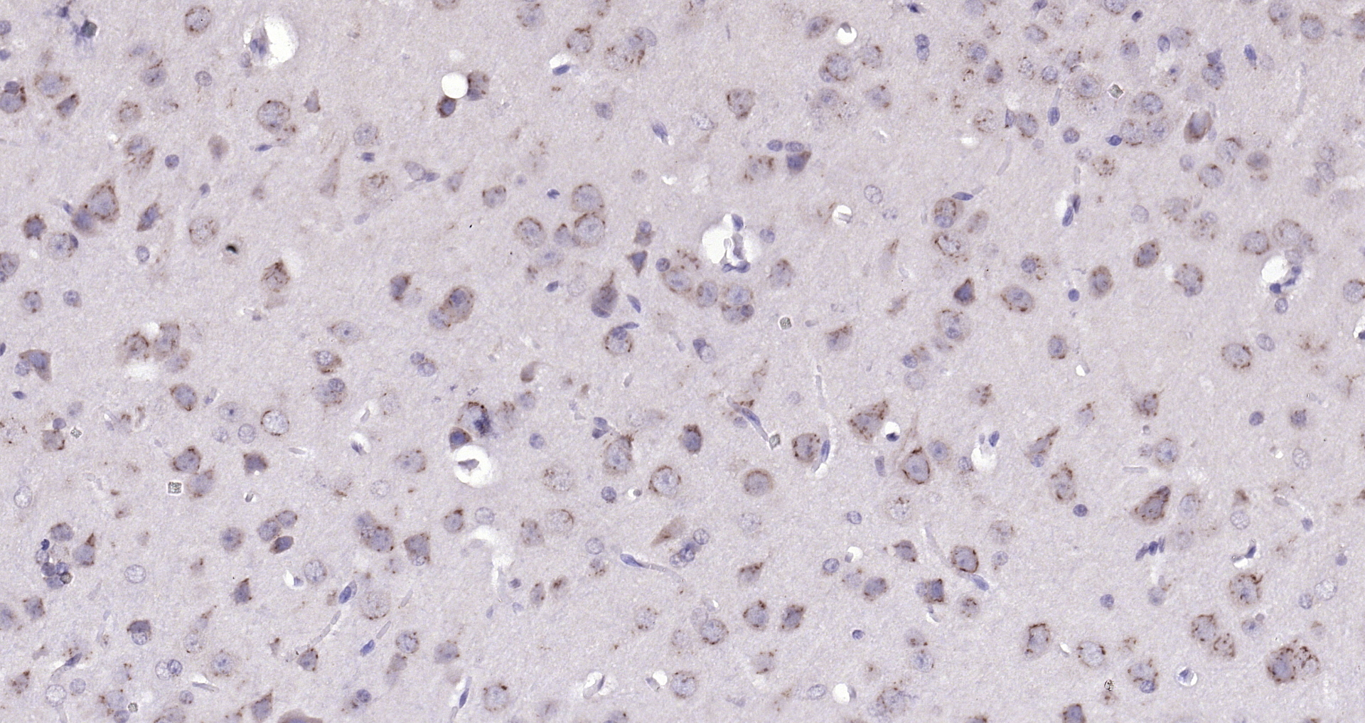
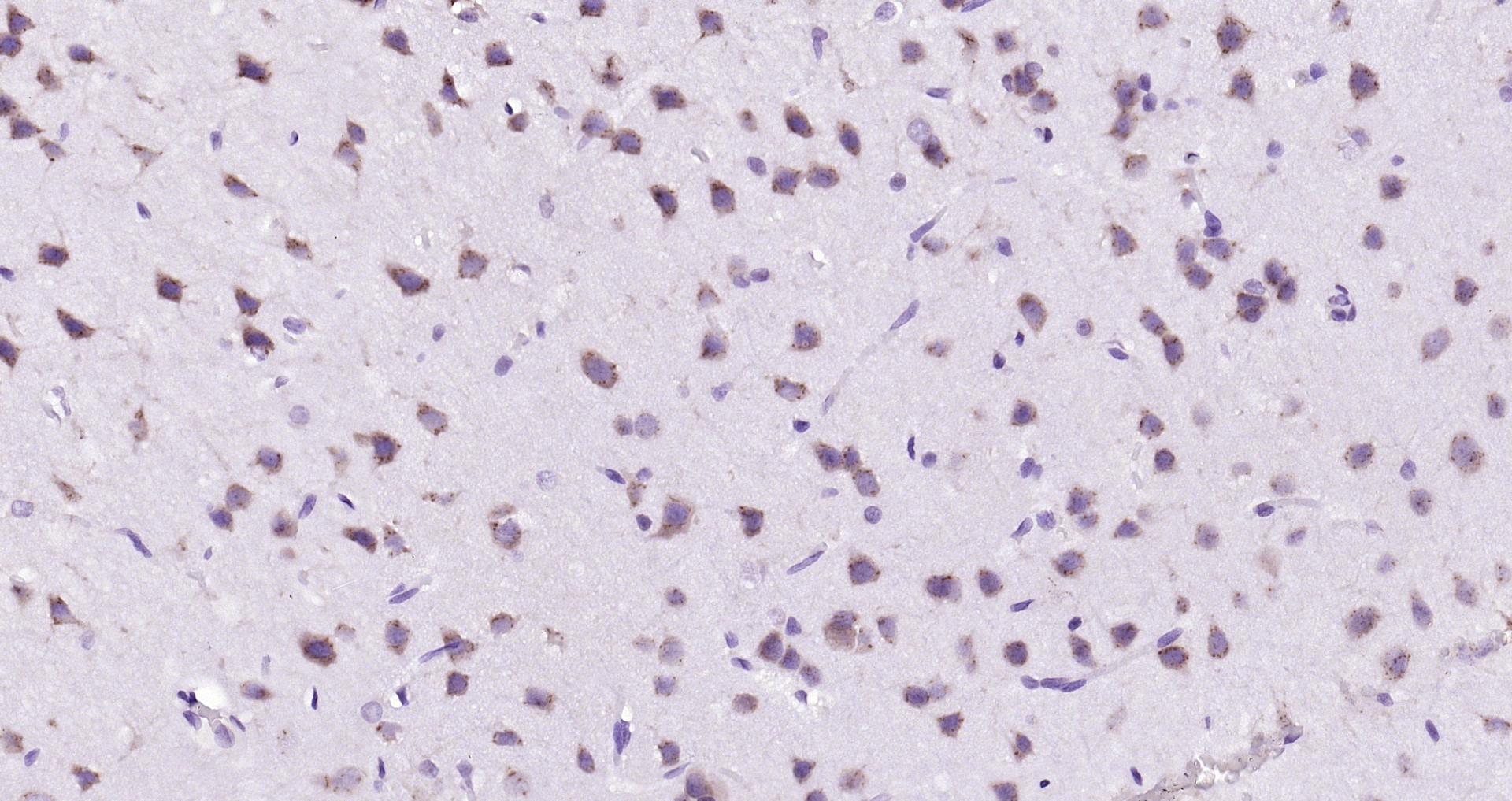
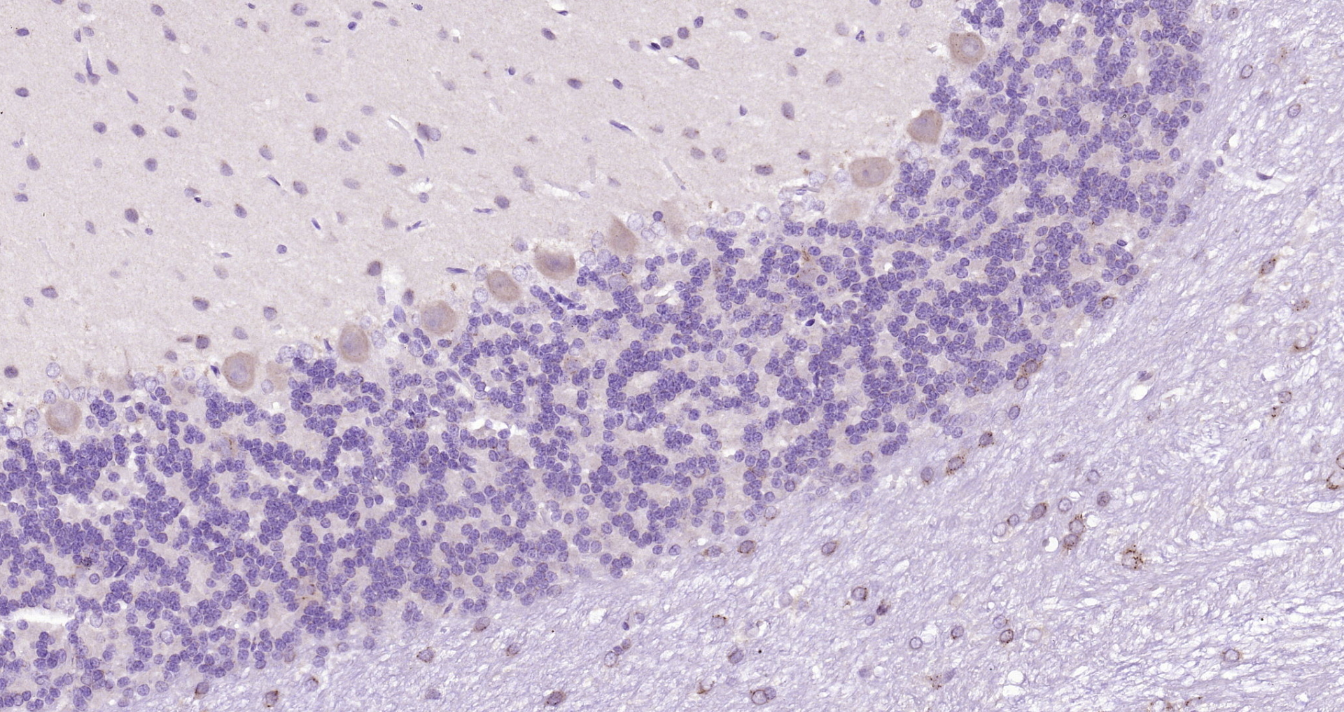
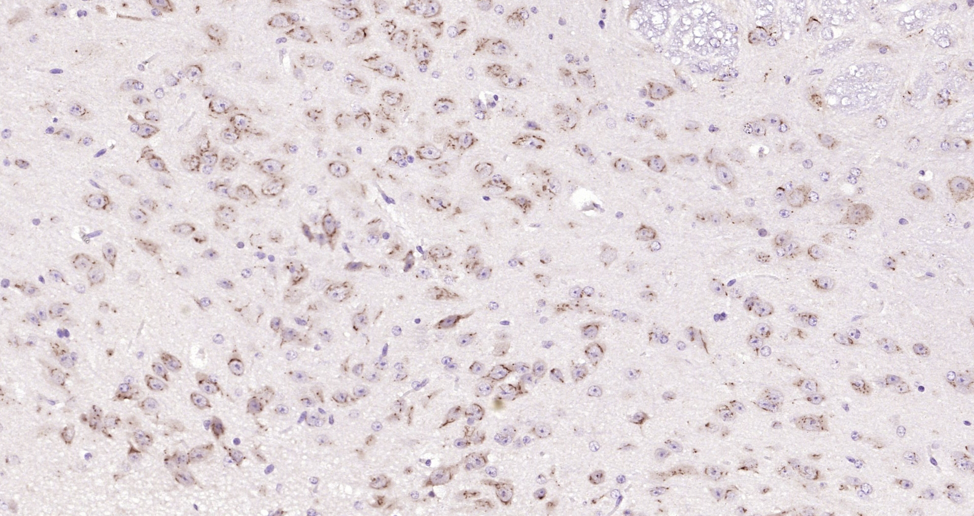
Paraformaldehyde-fixed, paraffin embedded Mouse brain; Antigen retrieval by boiling in sodium citrate buffer (pH6.0) for 15min; Block endogenous peroxidase by 3% hydrogen peroxide for 20 minutes; Blocking buffer (normal goat serum) at 37°C for 30min; Antibody incubation with B4GALNT1/GM2 synthase Polyclonal Antibody, Unconjugated (bs-12706R) at 1:400 overnight at 4°C, DAB staining.
B4GALNT1/GM2 synthase Polyclonal Antibody
BS-12706R
ApplicationsImmunoFluorescence, Western Blot, ELISA, ImmunoCytoChemistry, ImmunoHistoChemistry, ImmunoHistoChemistry Frozen, ImmunoHistoChemistry Paraffin
Product group Antibodies
ReactivityBovine, Canine, Equine, Human, Mouse, Rabbit, Rat, Sheep
TargetB4GALNT1
Overview
- SupplierBioss
- Product NameB4GALNT1/GM2 synthase Polyclonal Antibody
- Delivery Days Customer16
- ApplicationsImmunoFluorescence, Western Blot, ELISA, ImmunoCytoChemistry, ImmunoHistoChemistry, ImmunoHistoChemistry Frozen, ImmunoHistoChemistry Paraffin
- Applications SupplierWB(1:300-5000), ELISA(1:500-1000), IHC-P(1:200-400), IHC-F(1:100-500), IF(IHC-P)(1:50-200), IF(IHC-F)(1:50-200), IF(ICC)(1:50-200)
- CertificationResearch Use Only
- ClonalityPolyclonal
- Concentration1 ug/ul
- ConjugateUnconjugated
- Gene ID2583
- Target nameB4GALNT1
- Target descriptionbeta-1,4-N-acetyl-galactosaminyltransferase 1
- Target synonymsGALGT, GALNACT, GalNAc-T, SPG26, beta-1,4 N-acetylgalactosaminyltransferase 1, GD2 synthase, GM2 synthase, GM2/GD2 synthase, UDP-Gal:betaGlcNAc beta-1,4-N-acetylgalactosaminyltransferase transferase 1, UDP-N-acetyl-alpha-D-galactosamine:(N-acetylneuraminyl)-galactosylglucosylceramide N-acetylgalactosaminyltransferase (GalNAc-T), beta-1,4-N-acetyl-galactosaminyl transferase 1, beta1,4GalNAc-T
- HostRabbit
- IsotypeIgG
- Protein IDQ00973
- Protein NameBeta-1,4 N-acetylgalactosaminyltransferase 1
- ReactivityBovine, Canine, Equine, Human, Mouse, Rabbit, Rat, Sheep
- Storage Instruction-20°C
- UNSPSC41116161












