
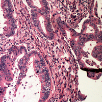
IHC-P analysis of formalin fixed human colon cancer tissue section using GTX32370 Bad (phospho Ser112) antibody. Antigen retrieval : Heat mediated antigen retrieval with sodium citrate buffer (pH 6.0)
Bad (phospho Ser112) antibody
GTX32370
ApplicationsWestern Blot, ImmunoHistoChemistry, ImmunoHistoChemistry Paraffin
Product group Antibodies
ReactivityHuman
TargetBAD
Overview
- SupplierGeneTex
- Product NameBad (phospho Ser112) antibody
- Delivery Days Customer9
- Application Supplier NoteWB: 1:500 - 1:1000. IHC-P: 1:100 - 1:200. *Optimal dilutions/concentrations should be determined by the researcher.Not tested in other applications.
- ApplicationsWestern Blot, ImmunoHistoChemistry, ImmunoHistoChemistry Paraffin
- CertificationResearch Use Only
- ClonalityPolyclonal
- ConjugateUnconjugated
- Gene ID572
- Target nameBAD
- Target descriptionBCL2 associated agonist of cell death
- Target synonymsBBC2, BCL2L8, bcl2-associated agonist of cell death, BCL-X/BCL-2 binding protein, BCL2-antagonist of cell death protein, BCL2-binding component 6, BCL2-binding protein, bcl-2-binding component 6, bcl-2-like protein 8, bcl-XL/Bcl-2-associated death promoter, bcl2 antagonist of cell death, bcl2-L-8
- HostRabbit
- IsotypeIgG
- Protein IDQ92934
- Protein NameBcl2-associated agonist of cell death
- Scientific DescriptionThe protein encoded by this gene is a member of the BCL-2 family. BCL-2 family members are known to be regulators of programmed cell death. This protein positively regulates cell apoptosis by forming heterodimers with BCL-xL and BCL-2, and reversing their death repressor activity. Proapoptotic activity of this protein is regulated through its phosphorylation. Protein kinases AKT and MAP kinase, as well as protein phosphatase calcineurin were found to be involved in the regulation of this protein. Alternative splicing of this gene results in two transcript variants which encode the same isoform. [provided by RefSeq, Jul 2008]
- ReactivityHuman
- Storage Instruction-20°C or -80°C,2°C to 8°C
- UNSPSC12352203



![Various whole cell extracts (30 μg) were separated by 15% SDS-PAGE, and the membrane was blotted with Bad antibody [GT1175] (GTX09508) diluted at 1:1000. The HRP-conjugated anti-rabbit IgG antibody (GTX213110-01) was used to detect the primary antibody.](https://www.genetex.com/upload/website/prouct_img/normal/GTX09508/GTX09508_4000000074_20200410_WB_w_23053123_409.webp)





