
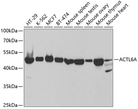
WB analysis of various sample lysates using GTX30021 BAF53A antibody. Dilution : 1:1000 Loading : 25microg per lane
BAF53A antibody
GTX30021
ApplicationsWestern Blot, ImmunoHistoChemistry, ImmunoHistoChemistry Paraffin
Product group Antibodies
ReactivityHuman, Mouse, Rat
TargetACTL6A
Overview
- SupplierGeneTex
- Product NameBAF53A antibody
- Delivery Days Customer7
- Application Supplier NoteWB: 1:500 - 1:2000. IHC-P: 1:50 - 1:200. *Optimal dilutions/concentrations should be determined by the researcher.Not tested in other applications.
- ApplicationsWestern Blot, ImmunoHistoChemistry, ImmunoHistoChemistry Paraffin
- CertificationResearch Use Only
- ClonalityPolyclonal
- ConjugateUnconjugated
- Gene ID86
- Target nameACTL6A
- Target descriptionactin like 6A
- Target synonymsACTL6, ARPN-BETA, Arp4, BAF53A, INO80K, SMARCN1, actin-like protein 6A, 53 kDa BRG1-associated factor A, BAF complex 53 kDa subunit, BAF53, BRG1-associated factor 53A, INO80 complex subunit K, actin-related protein 4, actin-related protein Baf53a, arpNbeta, hArpN beta
- HostRabbit
- IsotypeIgG
- Protein IDO96019
- Protein NameActin-like protein 6A
- Scientific DescriptionThis gene encodes a family member of actin-related proteins (ARPs), which share significant amino acid sequence identity to conventional actins. Both actins and ARPs have an actin fold, which is an ATP-binding cleft, as a common feature. The ARPs are involved in diverse cellular processes, including vesicular transport, spindle orientation, nuclear migration and chromatin remodeling. This gene encodes a 53 kDa subunit protein of the BAF (BRG1/brm-associated factor) complex in mammals, which is functionally related to SWI/SNF complex in S. cerevisiae and Drosophila; the latter is thought to facilitate transcriptional activation of specific genes by antagonizing chromatin-mediated transcriptional repression. Together with beta-actin, it is required for maximal ATPase activity of BRG1, and for the association of the BAF complex with chromatin/matrix. Three transcript variants that encode two different protein isoforms have been described. [provided by RefSeq, Jul 2008]
- ReactivityHuman, Mouse, Rat
- Storage Instruction-20°C or -80°C,2°C to 8°C
- UNSPSC12352203









