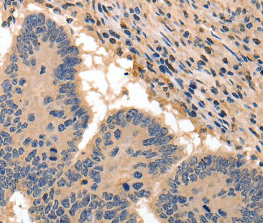
Immunohistochemistry of paraffin-embedded Human colon cancer tissue using BAIAP2 Polyclonal Antibody at dilution 1:50
BAIAP2 Polyclonal Antibody
E-AB-10414
ApplicationsImmunoHistoChemistry
Product group Antibodies
TargetBAIAP2
Overview
- SupplierElabscience
- Product NameBAIAP2 Polyclonal Antibody
- Delivery Days Customer12
- ApplicationsImmunoHistoChemistry
- Applications SupplierELISA IHC
- CertificationResearch Use Only
- ClonalityPolyclonal
- Concentration0.2 mg/ml
- ConjugateUnconjugated
- Gene ID10458
- Target nameBAIAP2
- Target descriptionBAR/IMD domain containing adaptor protein 2
- Target synonymsBAP2, FLAF3, IRSP53, WAML, BAR/IMD domain-containing adapter protein 2, BAI1 associated protein 2, IRS-58, IRSp53/58, WASP and MIM like, brain-specific angiogenesis inhibitor 1-associated protein 2, fas ligand-associated factor 3, insulin receptor substrate of 53 kDa, insulin receptor substrate p53/p58, insulin receptor substrate protein of 53 kDa
- HostRabbit
- IsotypeIgG
- Protein IDQ9UQB8
- Protein NameBAR/IMD domain-containing adapter protein 2
- Scientific DescriptionThe protein encoded by this gene has been identified as a brain-specific angiogenesis inhibitor (BAI1)-binding protein. This adaptor protein links membrane bound G-proteins to cytoplasmic effector proteins. This protein functions as an insulin receptor tyrosine kinase substrate and suggests a role for insulin in the central nervous system. It also associates with a downstream effector of Rho small G proteins, which is associated with the formation of stress fibers and cytokinesis. This protein is involved in lamellipodia and filopodia formation in motile cells and may affect neuronal growth-cone guidance. This protein has also been identified as interacting with the dentatorubral-pallidoluysian atrophy gene, which is associated with an autosomal dominant neurodegenerative disease. Alternative splicing results in multiple transcript variants encoding distinct isoforms
- Storage Instruction-20°C
- UNSPSC41116161







