![Various tissue extracts (50 μg) were separated by 12% SDS-PAGE, and the membrane was blotted with BASP1 antibody [HL3760] (GTX641959) diluted at 1:1000. The HRP-conjugated anti-rabbit IgG antibody (GTX213110-01) was used to detect the primary antibody. Various tissue extracts (50 μg) were separated by 12% SDS-PAGE, and the membrane was blotted with BASP1 antibody [HL3760] (GTX641959) diluted at 1:1000. The HRP-conjugated anti-rabbit IgG antibody (GTX213110-01) was used to detect the primary antibody.](https://www.genetex.com/upload/website/prouct_img/normal/GTX641959/GTX641959_T-45670_20250207_WB_M_tissue_25021320_649.webp)
Various tissue extracts (50 μg) were separated by 12% SDS-PAGE, and the membrane was blotted with BASP1 antibody [HL3760] (GTX641959) diluted at 1:1000. The HRP-conjugated anti-rabbit IgG antibody (GTX213110-01) was used to detect the primary antibody.
BASP1 antibody [HL3760]
GTX641959
ApplicationsWestern Blot, ImmunoHistoChemistry, ImmunoHistoChemistry Paraffin
Product group Antibodies
ReactivityHuman, Mouse
TargetBASP1
Overview
- SupplierGeneTex
- Product NameBASP1 antibody [HL3760]
- Delivery Days Customer9
- Application Supplier NoteWB: 1:500-1:3000. *Optimal dilutions/concentrations should be determined by the researcher.Not tested in other applications.
- ApplicationsWestern Blot, ImmunoHistoChemistry, ImmunoHistoChemistry Paraffin
- CertificationResearch Use Only
- ClonalityMonoclonal
- Clone IDHL3760
- Concentration1 mg/ml
- ConjugateUnconjugated
- Gene ID10409
- Target nameBASP1
- Target descriptionbrain abundant membrane attached signal protein 1
- Target synonymsCAP-23, CAP23, NAP-22, NAP22, brain acid soluble protein 1, 22 kDa neuronal tissue-enriched acidic protein, brain acid-soluble protein 1, neuronal axonal membrane protein NAP-22, neuronal tissue-enriched acidic protein
- HostRabbit
- IsotypeIgG
- Protein IDP80723
- Protein NameBrain acid soluble protein 1
- Scientific DescriptionThis gene encodes a membrane bound protein with several transient phosphorylation sites and PEST motifs. Conservation of proteins with PEST sequences among different species supports their functional significance. PEST sequences typically occur in proteins with high turnover rates. Immunological characteristics of this protein are species specific. This protein also undergoes N-terminal myristoylation. Alternative splicing results in multiple transcript variants that encode the same protein. [provided by RefSeq, Oct 2012]
- ReactivityHuman, Mouse
- Storage Instruction-20°C or -80°C,2°C to 8°C
- UNSPSC41116161
![Various whole cell extracts (30 μg) were separated by 12% SDS-PAGE, and the membrane was blotted with BASP1 antibody [HL3760] (GTX641959) diluted at 1:1000. The HRP-conjugated anti-rabbit IgG antibody (GTX213110-01) was used to detect the primary antibody, and the signal was developed with Trident ECL plus-Enhanced. Corresponding RNA expression data for the same cell lines are based on Human Protein Atlas program. Various whole cell extracts (30 μg) were separated by 12% SDS-PAGE, and the membrane was blotted with BASP1 antibody [HL3760] (GTX641959) diluted at 1:1000. The HRP-conjugated anti-rabbit IgG antibody (GTX213110-01) was used to detect the primary antibody, and the signal was developed with Trident ECL plus-Enhanced. Corresponding RNA expression data for the same cell lines are based on Human Protein Atlas program.](https://www.genetex.com/upload/website/prouct_img/normal/GTX641959/GTX641959_T-45670_20250221_WB_TPM_watermark_25022521_591.webp)
![BASP1 antibody [HL3760] detects BASP1 protein by immunohistochemical analysis. Sample: Paraffin-embedded human tissues. BASP1 stained by BASP1 antibody [HL3760] (GTX641959) diluted at 1:200. Antigen Retrieval: Citrate buffer, pH 6.0, 15 min BASP1 antibody [HL3760] detects BASP1 protein by immunohistochemical analysis. Sample: Paraffin-embedded human tissues. BASP1 stained by BASP1 antibody [HL3760] (GTX641959) diluted at 1:200. Antigen Retrieval: Citrate buffer, pH 6.0, 15 min](https://www.genetex.com/upload/website/prouct_img/normal/GTX641959/GTX641959_T-45670_20250314_IHC-P_Multiple_RPKM_25032719_426.webp)
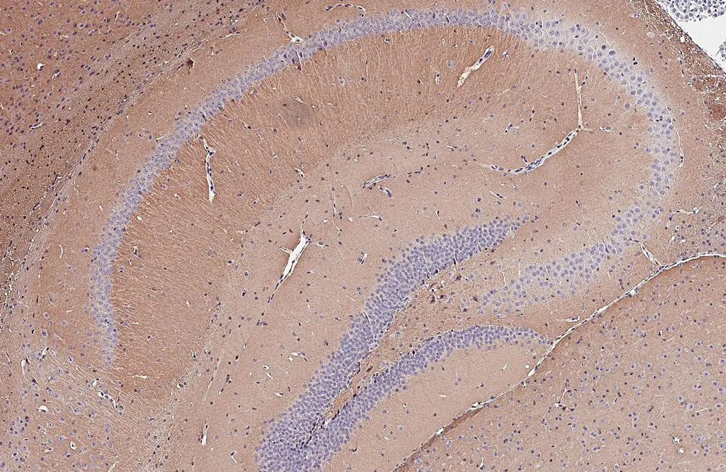
![BASP1 antibody [HL3760] detects BASP1 protein by immunohistochemical analysis. Sample: Paraffin-embedded mouse hippocampus. BASP1 stained by BASP1 antibody [HL3760] (GTX641959) diluted at 1:250. Antigen Retrieval: Citrate buffer, pH 6.0, 15 min BASP1 antibody [HL3760] detects BASP1 protein by immunohistochemical analysis. Sample: Paraffin-embedded mouse hippocampus. BASP1 stained by BASP1 antibody [HL3760] (GTX641959) diluted at 1:250. Antigen Retrieval: Citrate buffer, pH 6.0, 15 min](https://www.genetex.com/upload/website/prouct_img/normal/GTX641959/GTX641959_T-45670_20250529_IHC-P_M_2_25061003_198.webp)
![BASP1 antibody [HL3760] detects BASP1 protein by immunohistochemical analysis. Sample: Paraffin-embedded mouse brain. BASP1 stained by BASP1 antibody [HL3760] (GTX641959) diluted at 1:250. Antigen Retrieval: Citrate buffer, pH 6.0, 15 min BASP1 antibody [HL3760] detects BASP1 protein by immunohistochemical analysis. Sample: Paraffin-embedded mouse brain. BASP1 stained by BASP1 antibody [HL3760] (GTX641959) diluted at 1:250. Antigen Retrieval: Citrate buffer, pH 6.0, 15 min](https://www.genetex.com/upload/website/prouct_img/normal/GTX641959/GTX641959_T-45670_20250529_IHC-P_M_25061003_146.webp)
![BASP1 antibody [HL3760] detects BASP1 protein by immunohistochemical analysis. Sample: Paraffin-embedded mouse tissues. BASP1 stained by BASP1 antibody [HL3760] (GTX641959) diluted at 1:250. Antigen Retrieval: Citrate buffer, pH 6.0, 15 min BASP1 antibody [HL3760] detects BASP1 protein by immunohistochemical analysis. Sample: Paraffin-embedded mouse tissues. BASP1 stained by BASP1 antibody [HL3760] (GTX641959) diluted at 1:250. Antigen Retrieval: Citrate buffer, pH 6.0, 15 min](https://www.genetex.com/upload/website/prouct_img/normal/GTX641959/GTX641959_T-45670_20250612_IHC-P_M_Multiple_RPKM_25061902_740.webp)






