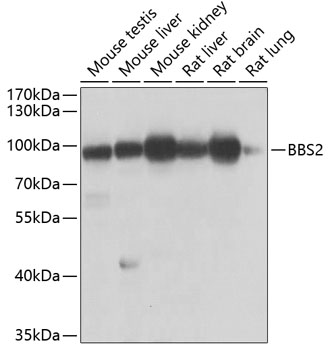
Western blot analysis of extracts of various cell lines using BBS2 Polyclonal Antibody at dilution of 1:1000.
BBS2 Polyclonal Antibody
E-AB-62011
Product group Antibodies
Overview
- SupplierElabscience
- Product NameBBS2 Polyclonal Antibody
- Delivery Days Customer12
- CertificationResearch Use Only
- Scientific DescriptionThis gene is a member of the Bardet-Biedl syndrome (BBS) gene family. Bardet-Biedl syndrome is an autosomal recessive disorder characterized by severe pigmentary retinopathy, obesity, polydactyly, renal malformation and mental retardation. The proteins encoded by BBS gene family members are structurally diverse and the similar phenotypes exhibited by mutations in BBS gene family members is likely due to their shared roles in cilia formation and function. Many BBS proteins localize to the basal bodies, ciliary axonemes, and pericentriolar regions of cells. BBS proteins may also be involved in intracellular trafficking via microtubule-related transport. The protein encoded by this gene forms a multiprotein BBSome complex with seven other BBS proteins.
- UNSPSC12352203




