
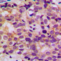
IHC-P analysis of formalin fixed human breast cancer tissue section using GTX32372 Bcl-2 (phospho Ser87) antibody. Antigen retrieval : Heat mediated antigen retrieval with sodium citrate buffer (pH 6.0)
Bcl-2 (phospho Ser87) antibody
GTX32372
ApplicationsWestern Blot, ImmunoHistoChemistry, ImmunoHistoChemistry Paraffin
Product group Antibodies
TargetBCL2
Overview
- SupplierGeneTex
- Product NameBcl-2 (phospho Ser87) antibody
- Delivery Days Customer9
- Application Supplier NoteWB: 1:500 - 1:1000. IHC-P: 1:100 - 1:200. *Optimal dilutions/concentrations should be determined by the researcher.Not tested in other applications.
- ApplicationsWestern Blot, ImmunoHistoChemistry, ImmunoHistoChemistry Paraffin
- CertificationResearch Use Only
- ClonalityPolyclonal
- ConjugateUnconjugated
- Gene ID596
- Target nameBCL2
- Target descriptionBCL2 apoptosis regulator
- Target synonymsapoptosis regulator Bcl-2; B-cell CLL/lymphoma 2; Bcl-2; PPP1R50; protein phosphatase 1, regulatory subunit 50
- HostRabbit
- IsotypeIgG
- Protein IDP10415
- Protein NameApoptosis regulator Bcl-2
- Scientific DescriptionThis gene encodes an integral outer mitochondrial membrane protein that blocks the apoptotic death of some cells such as lymphocytes. Constitutive expression of BCL2, such as in the case of translocation of BCL2 to Ig heavy chain locus, is thought to be the cause of follicular lymphoma. Alternative splicing results in multiple transcript variants. [provided by RefSeq, Feb 2016]
- Storage Instruction-20°C or -80°C,2°C to 8°C
- UNSPSC12352203