![WB analysis of various cell lines using GTX83460 beta Tubulin 3/ Tuj1 antibody [5H2]. Loading : 35 ug per lane WB analysis of various cell lines using GTX83460 beta Tubulin 3/ Tuj1 antibody [5H2]. Loading : 35 ug per lane](https://www.genetex.com/upload/website/prouct_img/normal/GTX83460/GTX83460_3597_WB_w_23061419_857.webp)
WB analysis of various cell lines using GTX83460 beta Tubulin 3/ Tuj1 antibody [5H2]. Loading : 35 ug per lane
beta Tubulin 3/ Tuj1 antibody [5H2]
GTX83460
ApplicationsWestern Blot
Product group Antibodies
ReactivityCanine, Human, Monkey, Mouse, Rat
TargetTUBB3
Overview
- SupplierGeneTex
- Product Namebeta Tubulin 3/ Tuj1 antibody [5H2]
- Delivery Days Customer9
- Application Supplier NoteWB: 1:1000-1:2000. *Optimal dilutions/concentrations should be determined by the researcher.Not tested in other applications.
- ApplicationsWestern Blot
- CertificationResearch Use Only
- ClonalityMonoclonal
- Clone ID5H2
- Concentration1 mg/ml
- ConjugateUnconjugated
- Gene ID10381
- Target nameTUBB3
- Target descriptiontubulin beta 3 class III
- Target synonymsCDCBM, CDCBM1, CFEOM3, CFEOM3A, FEOM3, TUBB4, beta-4, tubulin beta-3 chain, class III beta-tubulin, tubulin beta-4 chain, tubulin beta-III, tubulin, beta 3
- HostMouse
- IsotypeIgG1
- Protein IDQ13509
- Protein NameTubulin beta-3 chain
- Scientific DescriptionTubulin is the major constituent of microtubules. It binds two moles of GTP, one at an exchangeable site on the beta chain and one at a non-exchangeable site on the alpha-chain. TUBB3 plays a critical role in proper axon guidance and mantainance.
- ReactivityCanine, Human, Monkey, Mouse, Rat
- Storage Instruction-20°C or -80°C,2°C to 8°C
- UNSPSC12352203
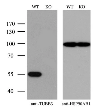
![WB analysis of wild type and beta Tubulin 3/ Tuj1 knock out HeLa cell lysate(10microg per lane) using GTX83460 beta Tubulin 3/ Tuj1 antibody [5H2]. Dilution : 1:500 WB analysis of wild type and beta Tubulin 3/ Tuj1 knock out HeLa cell lysate(10microg per lane) using GTX83460 beta Tubulin 3/ Tuj1 antibody [5H2]. Dilution : 1:500](https://www.genetex.com/upload/website/prouct_img/normal/GTX83460/GTX83460_3643_20181228_WB_w_23061419_345.webp)
![WB analysis of HEK293T cells transfected with beta Tubulin 3/ Tuj1 plasmid (Right) or empty vector (Left) for 48 hrs using GTX83460 beta Tubulin 3/ Tuj1 antibody [5H2]. Loading : 5 ug per lane WB analysis of HEK293T cells transfected with beta Tubulin 3/ Tuj1 plasmid (Right) or empty vector (Left) for 48 hrs using GTX83460 beta Tubulin 3/ Tuj1 antibody [5H2]. Loading : 5 ug per lane](https://www.genetex.com/upload/website/prouct_img/normal/GTX83460/GTX83460_3644_WB_w_23061419_884.webp)






![FACS analysis of A549 cells using GTX83356 beta Tubulin 3/ Tuj1 antibody [2E9]. Green : beta Tubulin 3/ Tuj1 Purple : negative control](https://www.genetex.com/upload/website/prouct_img/normal/GTX83356/GTX83356_20170912_FACS_w_23061322_791.webp)