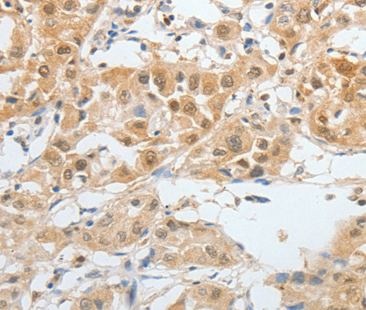
Immunohistochemistry of paraffin-embedded Human liver cancer tissue using BPIFB2 Polyclonal Antibody at dilution 1:45
BPIFB2 Polyclonal Antibody
E-AB-15756
Product group Antibodies
Overview
- SupplierElabscience
- Product NameBPIFB2 Polyclonal Antibody
- Delivery Days Customer12
- Applications SupplierELISA IHC
- CertificationResearch Use Only
- Concentration0.3mg/ml
- Scientific DescriptionThis gene encodes a member of the lipid transfer/lipopolysaccharide binding protein (LT/LBP) gene family. It is highly expressed in hypertrophic tonsils. This gene and three other members of the LT/LBP gene family form a cluster on the long arm of chromosome 20.
- UNSPSC12352203





