Western Blot analysis of Hela and Raji cell using BRAF Polyclonal Antibody at dilution of 1:400
BRAF Polyclonal Antibody
E-AB-15531
Product group Antibodies
Overview
- SupplierElabscience
- Product NameBRAF Polyclonal Antibody
- Delivery Days Customer12
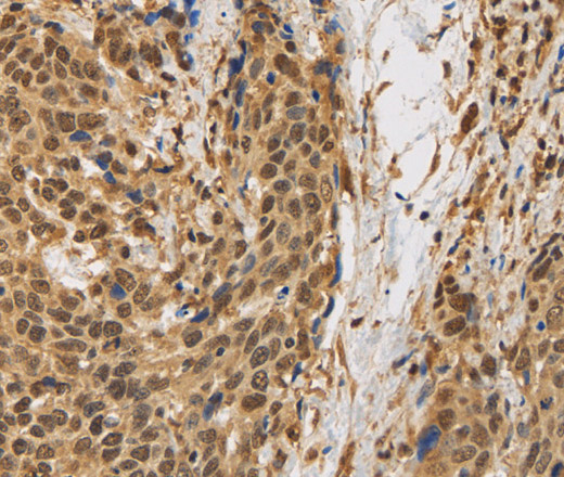
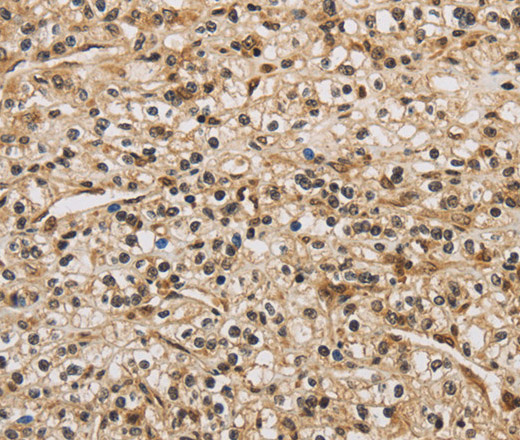
- Applications SupplierELISA WB IHC
- CertificationResearch Use Only
- Concentration0.7mg/ml
- Scientific DescriptionThis gene encodes a protein belonging to the raf/mil family of serine/threonine protein kinases. This protein plays a role in regulating the MAP kinase/ERKs signaling pathway, which affects cell division, differentiation, and secretion. Mutations in this gene are associated with cardiofaciocutaneous syndrome, a disease characterized by heart defects, mental retardation and a distinctive facial appearance. Mutations in this gene have also been associated with various cancers, including non-Hodgkin lymphoma, colorectal cancer, malignant melanoma, thyroid carcinoma, non-small cell lung carcinoma, and adenocarcinoma of lung. A pseudogene, which is located on chromosome X, has been identified for this gene.
- UNSPSC12352203




