
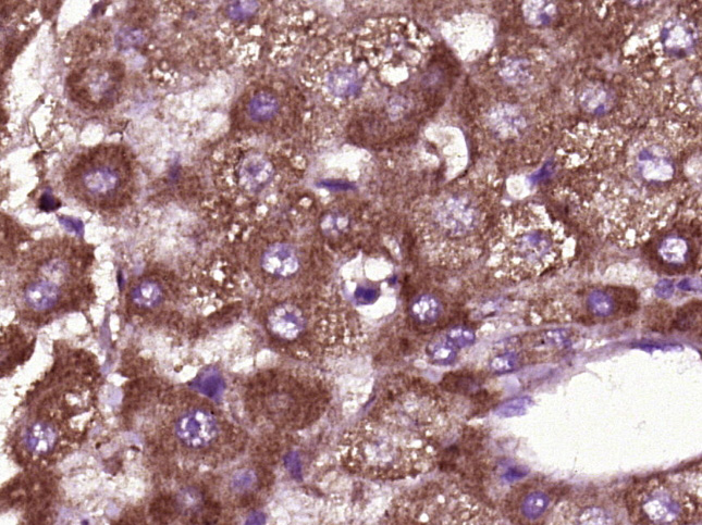
Paraformaldehyde-fixed, paraffin embedded Rat liver; Antigen retrieval by boiling in sodium citrate buffer (pH6.0) for 15min; Block endogenous peroxidase by 3% hydrogen peroxide for 20 minutes; Blocking buffer (normal goat serum) at 37°C for 30min; Antibody incubation with BTBD17 Polyclonal Antibody, Unconjugated (bs-8400R) at 1:400 overnight at 4°C, DAB staining.
BTBD17 Polyclonal Antibody
BS-8400R
ApplicationsImmunoFluorescence, Western Blot, ELISA, ImmunoCytoChemistry, ImmunoHistoChemistry, ImmunoHistoChemistry Frozen, ImmunoHistoChemistry Paraffin
Product group Antibodies
ReactivityCanine, Human, Mouse, Rat, Sheep
TargetBTBD17
Overview
- SupplierBioss
- Product NameBTBD17 Polyclonal Antibody
- Delivery Days Customer16
- ApplicationsImmunoFluorescence, Western Blot, ELISA, ImmunoCytoChemistry, ImmunoHistoChemistry, ImmunoHistoChemistry Frozen, ImmunoHistoChemistry Paraffin
- Applications SupplierWB(1:300-5000), ELISA(1:500-1000), IHC-P(1:200-400), IHC-F(1:100-500), IF(IHC-P)(1:50-200), IF(IHC-F)(1:50-200), IF(ICC)(1:50-200)
- CertificationResearch Use Only
- ClonalityPolyclonal
- Concentration1 ug/ul
- ConjugateUnconjugated
- Gene ID388419
- Target nameBTBD17
- Target descriptionBTB domain containing 17
- Target synonymsBTBD17A, LGALS3BPL, TANGO10A, BTB/POZ domain-containing protein 17, BTB (POZ) domain containing 17, BTB/POZ and BACK domain-containing protein LOC388419, transport and golgi organization 10 homolog A
- HostRabbit
- IsotypeIgG
- Protein IDA6NE02
- Protein NameBTB/POZ domain-containing protein 17
- ReactivityCanine, Human, Mouse, Rat, Sheep
- Storage Instruction-20°C
- UNSPSC41116161




