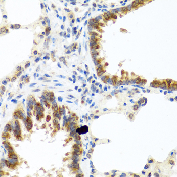
Immunohistochemistry of paraffin-embedded Rat lung using C8orf4 Polyclonal Antibody at dilution of 1:100 (40x lens).
C8orf4 Polyclonal Antibody
E-AB-62494
Product group Antibodies
Overview
- SupplierElabscience
- Product NameC8orf4 Polyclonal Antibody
- Delivery Days Customer12
- CertificationResearch Use Only
- Scientific DescriptionThis gene encodes a small, monomeric, predominantly unstructured protein that functions as a positive regulator of the Wnt/beta-catenin signaling pathway. This protein interacts with a repressor of beta-catenin mediated transcription at nuclear speckles. It is thought to competitively block interactions of the repressor with beta-catenin, resulting in up-regulation of beta-catenin target genes. The encoded protein may also play a role in the NF-kappaB and ERK1/2 signaling pathways. Expression of this gene may play a role in the proliferation of several types of cancer including thyroid cancer, breast cancer and hematological malignancies.
- UNSPSC12352203



