
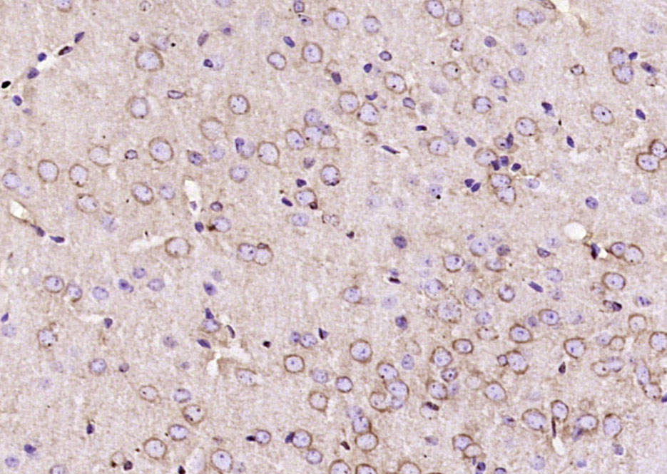
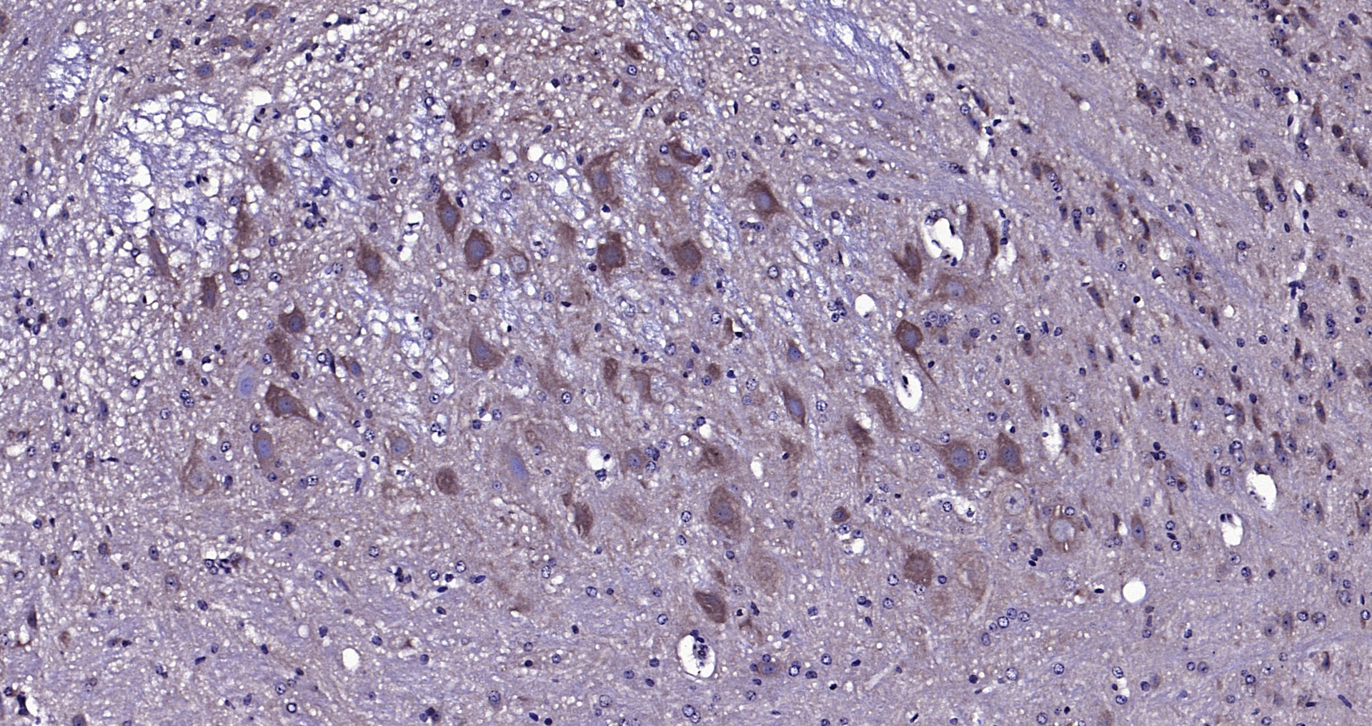
Formalin-fixed and paraffin embedded rat brain labeled with Anti-CACNA1G/Cav3.1 Polyclonal Antibody, Unconjugated (bs-2781R) at 1:200 followed by conjugation to the secondary antibody and DAB staining.
CACNA1G Polyclonal Antibody
BS-2781R
ApplicationsFlow Cytometry, ImmunoFluorescence, ELISA, ImmunoCytoChemistry, ImmunoHistoChemistry, ImmunoHistoChemistry Frozen, ImmunoHistoChemistry Paraffin
Product group Antibodies
ReactivityBovine, Canine, Human, Mouse, Rat
TargetCACNA1G
Overview
- SupplierBioss
- Product NameCACNA1G Polyclonal Antibody
- Delivery Days Customer16
- ApplicationsFlow Cytometry, ImmunoFluorescence, ELISA, ImmunoCytoChemistry, ImmunoHistoChemistry, ImmunoHistoChemistry Frozen, ImmunoHistoChemistry Paraffin
- Applications SupplierELISA(1:500-1000), FCM(1:20-100), IHC-P(1:200-400), IHC-F(1:100-500), IF(IHC-P)(1:50-200), IF(IHC-F)(1:50-200), IF(ICC)(1:50-200)
- CertificationResearch Use Only
- ClonalityPolyclonal
- Concentration1 ug/ul
- ConjugateUnconjugated
- Gene ID8913
- Target nameCACNA1G
- Target descriptioncalcium voltage-gated channel subunit alpha1 G
- Target synonymsCa(V)T.1, Cav3.1, NBR13, SCA42, SCA42ND, voltage-dependent T-type calcium channel subunit alpha-1G, calcium channel, voltage-dependent, T type, alpha 1G subunit, cav3.1c, voltage-dependent T-type calcium channel alpha 1G subunit, voltage-dependent calcium channel alpha 1G subunit, voltage-gated calcium channel subunit alpha Cav3.1
- HostRabbit
- IsotypeIgG
- Protein IDO43497
- Protein NameVoltage-dependent T-type calcium channel subunit alpha-1G
- ReactivityBovine, Canine, Human, Mouse, Rat
- Storage Instruction-20°C
- UNSPSC12352203









