Western Blot analysis of Human placenta tissue using CALU Polyclonal Antibody at dilution of 1:400
CALU Polyclonal Antibody
E-AB-14816
Product group Antibodies
Overview
- SupplierElabscience
- Product NameCALU Polyclonal Antibody
- Delivery Days Customer12
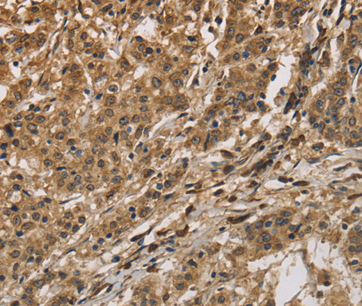
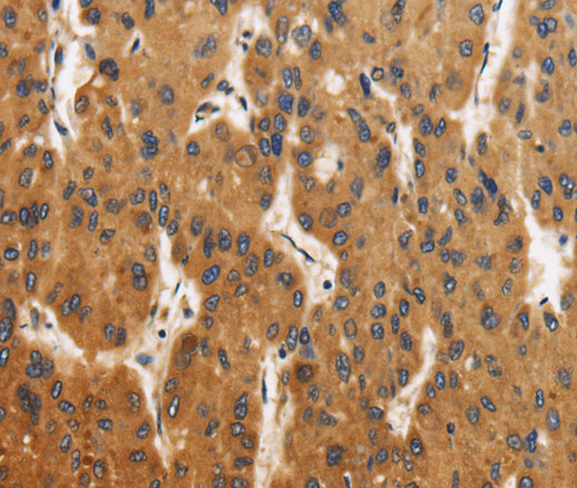
- Applications SupplierELISA WB IHC
- CertificationResearch Use Only
- Concentration0.4mg/ml
- Scientific DescriptionThe product of this gene is a calcium-binding protein localized in the endoplasmic reticulum (ER) and it is involved in such ER functions as protein folding and sorting. This protein belongs to a family of multiple EF-hand proteins (CERC) that include reticulocalbin, ERC-55, and Cab45 and the product of this gene. Alternatively spliced transcript variants encoding different isoforms have been identified
- UNSPSC12352203





