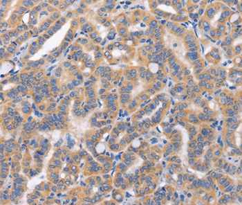
Immunohistochemistry of paraffin-embedded Human thyroid cancer tissue using CARD17 Polyclonal Antibody at dilution 1:50
CARD17 Polyclonal Antibody
E-AB-16299
Product group Antibodies
Overview
- SupplierElabscience
- Product NameCARD17 Polyclonal Antibody
- Delivery Days Customer12
- Applications SupplierELISA IHC
- CertificationResearch Use Only
- Concentration0.7mg/ml
- Scientific DescriptionRegulator of procaspase-1/CASP1 activation implicated in the regulation of the proteolytic maturation of pro-IL-1beta/IL1B and its release during inflammation. Inhibits the release of IL1B in response to LPS in monocytes. However, unlike CASP1, do not induce NF-kappa-B activation.
- UNSPSC12352203





