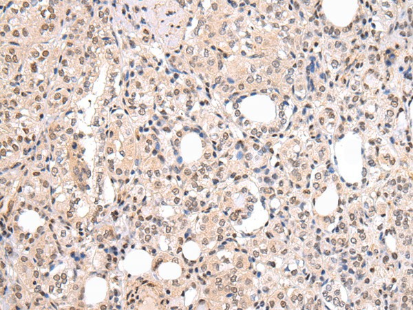
Immunohistochemistry of paraffin-embedded Human thyroid cancer using CBX7 Polyclonal Antibody at dilution of 1/20
CBX7 Polyclonal Antibody
E-AB-17698
Product group Antibodies
Overview
- SupplierElabscience
- Product NameCBX7 Polyclonal Antibody
- Delivery Days Customer12
- CertificationResearch Use Only
- Scientific DescriptionCBX7 (Chromobox protein homolog 7) is a 251 amino acid nuclear protein that contains one N-terminal chromo domain and one C-terminal Pc box. Highly expressed in kidney, brain, heart and skeletal muscle, with weaker expression in peripheral blood leukocytes, CBX7 functions as a component of the chromatin-associated polycomb complex (PcG) and is involved in maintaining the transcriptionally repressed state of target genes.
- UNSPSC12352203







