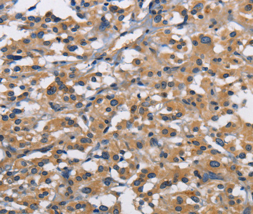
Immunohistochemistry of paraffin-embedded Human thyroid cancer tissue using CBY1 Polyclonal Antibody at dilution 1:60
CBY1 Polyclonal Antibody
E-AB-14716
ApplicationsImmunoHistoChemistry
Product group Antibodies
TargetCBY1
Overview
- SupplierElabscience
- Product NameCBY1 Polyclonal Antibody
- Delivery Days Customer12
- ApplicationsImmunoHistoChemistry
- Applications SupplierELISA IHC
- CertificationResearch Use Only
- ClonalityPolyclonal
- Concentration0.6 mg/ml
- ConjugateUnconjugated
- Gene ID25776
- Target nameCBY1
- Target descriptionchibby 1, beta catenin antagonist
- Target synonymsC22orf2, CBY, Chibby1, HS508I15A, PGEA1, PIGEA-14, PIGEA14, arb1, protein chibby homolog 1, ARPP-binding protein, PKD2 interactor, Golgi and endoplasmic reticulum-associated 1, chibby CTNNB1-mediated transcription inhibitor, chibby family member 1, beta catenin antagonist, chibby homolog 1, coiled-coil protein PIGEA-14, cytosolic leucine-rich protein, polycystin-2 interactor, Golgi- and endoplasmic reticulum-associated protein, 14 kDa
- HostRabbit
- IsotypeIgG
- Protein IDQ9Y3M2
- Protein NameProtein chibby homolog 1
- Scientific DescriptionBeta-catenin is a transcriptional activator and oncoprotein involved in the development of several cancers. The protein encoded by this gene interacts directly with the C-terminal region of beta-catenin, inhibiting oncogenic beta-catenin-mediated transcriptional activation by competing with transcription factors for binding to beta-catenin. Two transcript variants encoding different isoforms have been found for this gene.
- Storage Instruction-20°C
- UNSPSC41116161


