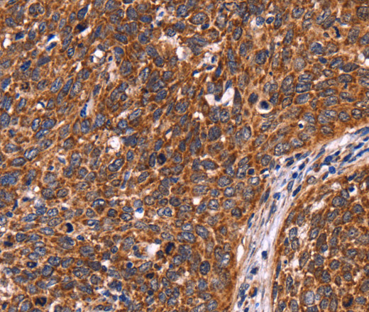
Immunohistochemistry of paraffin-embedded Human cervical cancer tissue using CCDC106 Polyclonal Antibody at dilution 1:60
CCDC106 Polyclonal Antibody
E-AB-11038
Product group Antibodies
Overview
- SupplierElabscience
- Product NameCCDC106 Polyclonal Antibody
- Delivery Days Customer12
- Applications SupplierELISA IHC
- CertificationResearch Use Only
- Concentration0.3mg/ml
- Scientific DescriptionThe coiled-coil domain is a common protein motif that is often involved in protein oligomerization and is found in proteins such as transcription factors and intermediate filaments. CCDC106 was initially identified as a p53-interacting protein by yeast two-hybrid screening. Other experiments demonstrated that CCDC106 co-localizes and interacts with p53 in the nucleus, inhibiting the transcriptional activity of p53 and stimulating p53 protein degradation, indicating that at least one of the functions of CCDC106 is acting as a negative regulator of p53.
- UNSPSC12352203







