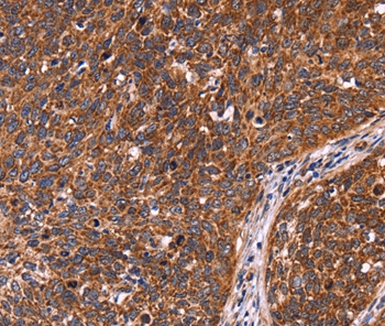
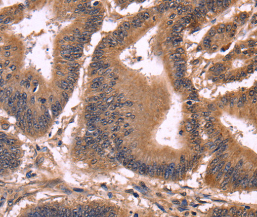
Immunohistochemistry of paraffin-embedded Human colon cancer tissue using CCDC106 Polyclonal Antibody at dilution 1:50
CCDC106 Polyclonal Antibody
E-AB-14831
ApplicationsImmunoHistoChemistry
Product group Antibodies
TargetCCDC106
Overview
- SupplierElabscience
- Product NameCCDC106 Polyclonal Antibody
- Delivery Days Customer12
- ApplicationsImmunoHistoChemistry
- Applications SupplierELISA IHC
- CertificationResearch Use Only
- ClonalityPolyclonal
- Concentration0.5 mg/ml
- ConjugateUnconjugated
- Gene ID29903
- Target nameCCDC106
- Target descriptioncoiled-coil domain containing 106
- Target synonymsHSU79303, ZNF581, coiled-coil domain-containing protein 106, protein predicted by clone 23882
- HostRabbit
- IsotypeIgG
- Protein IDQ9BWC9
- Protein NameCoiled-coil domain-containing protein 106
- Scientific DescriptionThe coiled-coil domain is a common protein motif that is often involved in protein oligomerization and is found in proteins such as transcription factors and intermediate filaments. CCDC106 was initially identified as a p53-interacting protein by yeast two-hybrid screening. Other experiments demonstrated that CCDC106 co-localizes and interacts with p53 in the nucleus, inhibiting the transcriptional activity of p53 and stimulating p53 protein degradation, indicating that at least one of the functions of CCDC106 is acting as a negative regulator of p53.
- Storage Instruction-20°C
- UNSPSC41116161







